phospho-Dab1 (Ser491) Rabbit pAb
phospho-Dab1 (Ser491) Rabbit pAb
- 产品详情
- 实验流程
- 背景知识
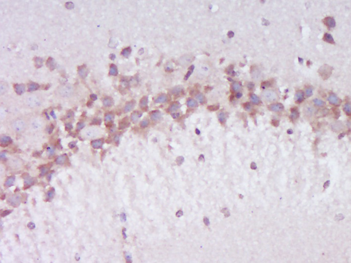
Application
| WB, IHC-P, IHC-F, IF |
|---|---|
| Primary Accession | P97318 |
| Reactivity | Human, Mouse |
| Predicted | Rat, Chicken, Dog, Horse, Rabbit, Sheep |
| Host | Rabbit |
| Clonality | Polyclonal |
| Calculated MW | 63578 Da |
| Physical State | Liquid |
| Immunogen | KLH conjugated Synthesised phosphopeptide derived from mouse Dab1 around the phosphorylation site of Ser491 |
| Epitope Specificity | QS(p-S)PS |
| Isotype | IgG |
| Purity | affinity purified by Protein A |
| Buffer | 0.01M TBS (pH7.4) with 1% BSA, 0.02% Proclin300 and 50% Glycerol. |
| SIMILARITY | Contains 1 PID domain. |
| SUBUNIT | Associates with the SH2 domains of SRC, FYN and ABL. Interacts with DAB2IP and SIAH1. Interacts with LRP1. |
| Post-translational modifications | Phosphorylated on Tyr-198 and Tyr-220 upon reelin induction in embryonic neurons. Also phosphorylated on Ser-524 independently of reelin signaling. |
| Important Note | This product as supplied is intended for research use only, not for use in human, therapeutic or diagnostic applications. |
| Background Descriptions | The laminar organization of multiple neuronal types in the cerebral cortex is required for normal cognitive function. In mice, the disabled-1 gene plays a central role in brain development, directing the migration of cortical neurons past previously formed neurons to reach their proper layer. This gene is similar to disabled-1, and the protein encoded by this gene is thought to be a signal transducer that interacts with protein kinase pathways to regulate neuronal positioning in the developing brain. Alternatively spliced transcript variants of this gene have been reported, but their full length nature has not been determined. [provided by RefSeq, Jul 2008] |
| Gene ID | 13131 |
|---|---|
| Other Names | Disabled homolog 1, mDab1, Dab1 {ECO:0000303|PubMed:9009273, ECO:0000312|MGI:MGI:108554} |
| Dilution | WB=1:500-2000,IHC-P=1:100-500,IHC-F=1:100-500,IF=1:100-500 |
| Storage | Store at -20 °C for one year. Avoid repeated freeze/thaw cycles. When reconstituted in sterile pH 7.4 0.01M PBS or diluent of antibody the antibody is stable for at least two weeks at 2-4 °C. |
| Name | Dab1 {ECO:0000303|PubMed:9009273, ECO:0000312|MGI:MGI:108554} |
|---|---|
| Function | Signaling adapter of the reelin-mediated signaling pathway, which regulates the migration and differentiation of postmitotic neurons during brain development (PubMed:12526739, PubMed:9009273, PubMed:9338784, PubMed:9338785). Mediates intracellular transduction of Reelin signaling following reelin (RELN)-binding to its receptor: acts by docking proteins through its phosphotyrosine residues and PID domain (PubMed:12526739, PubMed:9009273, PubMed:9338784, PubMed:9338785). |
| Cellular Location | Cytoplasm. |
| Tissue Location | Expressed mainly in brain (PubMed:9009273, PubMed:9338785). Specifically expressin in cortical neurons (PubMed:9338784, PubMed:9338785). |
For Research Use Only. Not For Use In Diagnostic Procedures.
Provided below are standard protocols that you may find useful for product applications.
BACKGROUND
The laminar organization of multiple neuronal types in the cerebral cortex is required for normal cognitive function. In mice, the disabled-1 gene plays a central role in brain development, directing the migration of cortical neurons past previously formed neurons to reach their proper layer. This gene is similar to disabled-1, and the protein encoded by this gene is thought to be a signal transducer that interacts with protein kinase pathways to regulate neuronal positioning in the developing brain. Alternatively spliced transcript variants of this gene have been reported, but their full length nature has not been determined. [provided by RefSeq, Jul 2008]
终于等到您。ABCEPTA(百远生物)抗体产品。
点击下方“我要评价 ”按钮提交您的反馈信息,您的反馈和评价是我们最宝贵的财富之一,
我们将在1-3个工作日内处理您的反馈信息。
如有疑问,联系:0512-88856768 tech-china@abcepta.com.
















癌症的基本特征包括细胞增殖、血管生成、迁移、凋亡逃避机制和细胞永生等。找到癌症发生过程中这些通路的关键标记物和对应的抗体用于检测至关重要。
为您推荐一个泛素化位点预测神器——泛素化分析工具,可以为您的蛋白的泛素化位点作出预测和评分。
细胞自噬受体图形绘图工具为你的蛋白的细胞受体结合位点作出预测和评分,识别结合到自噬通路中的蛋白是非常重要的,便于让我们理解自噬在正常生理、病理过程中的作用,如发育、细胞分化、神经退化性疾病、压力条件下、感染和癌症。