注册 | 登录
点击这里给我发消息
所有产品
  • 所有产品
  • 一抗
  • 裂解液
>   首页   >   产品   >   更多产品   

更多产品 ( 4 )

标注"皇冠"的产品,是满足高质量标准的产品。了解更多...

更多产品

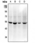
Catalog # AP1827A Citations (2)
ApplicationWB, E
ReactivityH
AccessionQ9UQV4
25 ul ¥ 699.00 询价
50 µl ¥ 1,250.00 询价
100 µl ¥ 2,050.00 询价
200 µl ¥ 2,960.00 询价
400 µl ¥ 4,550.00 询价
Catalog # AP61217
ApplicationWB, IHC
ReactivityH, M, Rat
AccessionQ9UQV4
50ul ¥ 1,500.00 询价
100 µl ¥ 2,600.00 询价
Catalog # AD80576
ApplicationIHC-P
ReactivityH
AccessionQ9UQV4
3ml ¥ 1,200.00 询价
6ml ¥ 2,200.00 询价
10ml ¥ 3,400.00 询价
Catalog # AP74074
ApplicationWB, IHC-P, IF, ICC, E
ReactivityH, Rat, M
AccessionQ9UQV4
50 µl ¥ 1,500.00 询价
100 µl ¥ 2,600.00 询价

订购信息

电话:0512-88856768 / 订购:0512-88856768 / 咨询:0512-88856768
邮箱:orders-china@abcepta.com