human IgA Mouse mAb
human IgA Mouse mAb
- 产品详情
- 实验流程
- 背景知识
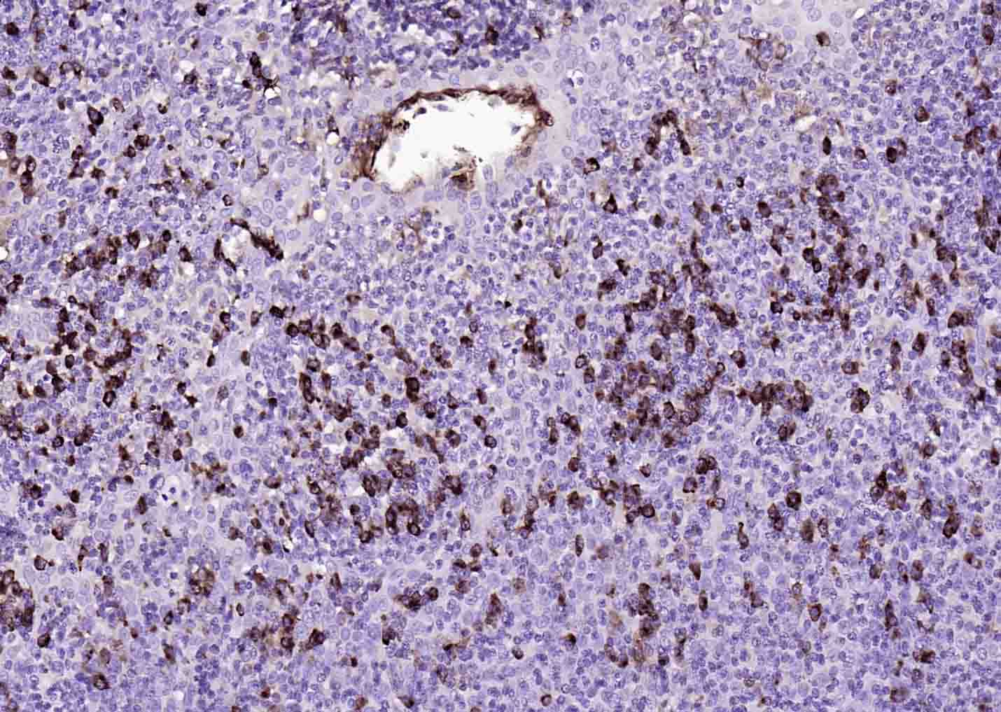
Application
| IHC-P, IHC-F, IF |
|---|---|
| Primary Accession | P01876 |
| Reactivity | Human |
| Host | Mouse |
| Clonality | Monoclonal |
| Calculated MW | 42849 Da |
| Physical State | Liquid |
| Immunogen | purified human Serum IgA |
| Isotype | IgG |
| Purity | affinity purified by Protein A |
| Buffer | 0.01M TBS (pH7.4) with 1% BSA, 0.02% Proclin300 and 50% Glycerol. |
| SUBCELLULAR LOCATION | Secreted. |
| Important Note | This product as supplied is intended for research use only, not for use in human, therapeutic or diagnostic applications. |
| Background Descriptions | Monomeric IgA constitutes 5-15 % of the serum immunoglobulins whereas dimeric IgA is localized to mucosa surfaces such as saliva, gastrointestinal secretion, bronchial fluids and milk. Mucosal IgA plays a major role in host defence by neutralising infectious agents at mucosal surfaces. The production is usually local and antigen specific IgA producing B-cells can be found in regions under the lamina propria where they mature into dimeric IgA producing plasma cells. IgA deficiency is the most common immunodeficiency that may affect both serum and mucosal produced IgA. |
| Other Names | Immunoglobulin heavy constant alpha 1 {ECO:0000303|PubMed:11340299, ECO:0000303|Ref.13}, Ig alpha-1 chain C region, Ig alpha-1 chain C region BUR, Ig alpha-1 chain C region TRO, IGHA1 {ECO:0000303|PubMed:11340299, ECO:0000303|Ref.13} |
|---|---|
| Dilution | IHC-P=1:500-1500,IHC-F=1:500-1500,IF=1:500-1500 |
| Storage | Store at -20 °C for one year. Avoid repeated freeze/thaw cycles. When reconstituted in sterile pH 7.4 0.01M PBS or diluent of antibody the antibody is stable for at least two weeks at 2-4 °C. |
| Name | IGHA1 {ECO:0000303|PubMed:11340299, ECO:0000303|Ref.13} |
|---|---|
| Function | Constant region of immunoglobulin heavy chains. Immunoglobulins, also known as antibodies, are membrane-bound or secreted glycoproteins produced by B lymphocytes. In the recognition phase of humoral immunity, the membrane-bound immunoglobulins serve as receptors which, upon binding of a specific antigen, trigger the clonal expansion and differentiation of B lymphocytes into immunoglobulins- secreting plasma cells. Secreted immunoglobulins mediate the effector phase of humoral immunity, which results in the elimination of bound antigens (PubMed:20176268, PubMed:22158414). The antigen binding site is formed by the variable domain of one heavy chain, together with that of its associated light chain. Thus, each immunoglobulin has two antigen binding sites with remarkable affinity for a particular antigen. The variable domains are assembled by a process called V-(D)-J rearrangement and can then be subjected to somatic hypermutations which, after exposure to antigen and selection, allow affinity maturation for a particular antigen (PubMed:17576170, PubMed:20176268). Ig alpha is the major immunoglobulin class in body secretions (PubMed:2241915). |
| Cellular Location | [Isoform 1]: Secreted |
For Research Use Only. Not For Use In Diagnostic Procedures.
Provided below are standard protocols that you may find useful for product applications.
BACKGROUND
Monomeric IgA constitutes 5-15 % of the serum immunoglobulins whereas dimeric IgA is localized to mucosa surfaces such as saliva, gastrointestinal secretion, bronchial fluids and milk. Mucosal IgA plays a major role in host defence by neutralising infectious agents at mucosal surfaces. The production is usually local and antigen specific IgA producing B-cells can be found in regions under the lamina propria where they mature into dimeric IgA producing plasma cells. IgA deficiency is the most common immunodeficiency that may affect both serum and mucosal produced IgA.
终于等到您。ABCEPTA(百远生物)抗体产品。
点击下方“我要评价 ”按钮提交您的反馈信息,您的反馈和评价是我们最宝贵的财富之一,
我们将在1-3个工作日内处理您的反馈信息。
如有疑问,联系:0512-88856768 tech-china@abcepta.com.
















癌症的基本特征包括细胞增殖、血管生成、迁移、凋亡逃避机制和细胞永生等。找到癌症发生过程中这些通路的关键标记物和对应的抗体用于检测至关重要。
为您推荐一个泛素化位点预测神器——泛素化分析工具,可以为您的蛋白的泛素化位点作出预测和评分。
细胞自噬受体图形绘图工具为你的蛋白的细胞受体结合位点作出预测和评分,识别结合到自噬通路中的蛋白是非常重要的,便于让我们理解自噬在正常生理、病理过程中的作用,如发育、细胞分化、神经退化性疾病、压力条件下、感染和癌症。