phospho-PPAR alpha (Ser12) Rabbit pAb
phospho-PPAR alpha (Ser12) Rabbit pAb
- 产品详情
- 实验流程
- 背景知识
Application
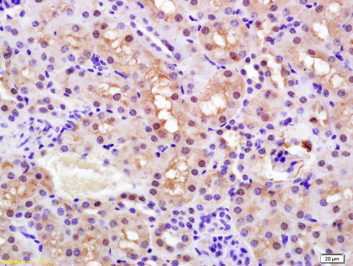
| WB, IHC-P, IHC-F, IF, E |
|---|---|
| Primary Accession | Q07869 |
| Reactivity | Human, Mouse, Rat, Rabbit |
| Predicted | Dog, Pig, Horse, Guinea Pig |
| Host | Rabbit |
| Clonality | Polyclonal |
| Calculated MW | 52225 Da |
| Physical State | Liquid |
| Immunogen | KLH conjugated synthesised phosphopeptide derived from human PPAR alpha around the phosphorylation site of ser12 |
| Epitope Specificity | PL(p-S)PL |
| Isotype | IgG |
| Purity | affinity purified by Protein A |
| Buffer | 0.01M TBS (pH7.4) with 1% BSA, 0.02% Proclin300 and 50% Glycerol. |
| SUBCELLULAR LOCATION | Nucleus. |
| SIMILARITY | Belongs to the nuclear hormone receptor family. NR1 subfamily. Contains 1 nuclear receptor DNA-binding domain. |
| SUBUNIT | Heterodimer; with RXRA. This heterodimerization is required for DNA binding and transactivation activity. Interacts with AKAP13, LPIN1 and PRDM16. Also interacts with PPARBP coactivator in vitro. Interacts with CITED2; the interaction stimulates its transcriptional activity. Interacts with NCOA3 and NCOA6 coactivators. Interacts with ASXL1 AND ASXL2. |
| Important Note | This product as supplied is intended for research use only, not for use in human, therapeutic or diagnostic applications. |
| Background Descriptions | Peroxisome proliferators are nongenotoxic carcinogens which are purported to exert their effect on cells through their interaction with members of the nuclear hormone receptor family, termed Peroxisome Proliferator Activated Receptors (PPARs). Nuclear hormone receptors are ligand dependent intracellular proteins that stimulate transcription of specific genes by binding to specific DNA sequences following activation by the appropriate ligand. Studies indicate that PPARs are activated by peroxisome proliferators such as clofibric acid, nafenopin, and WY-14,643, as well as by some fatty acids. It has also been shown that PPARs can induce transcription of acyl coenzyme A oxidase and cytochrome P450 A6 (CYP450 A6) through interaction with specific response elements. PPAR alpha is activated by free fatty acids including linoleic, arachidonic, and oleic acids. Induction of peroxisomes by this mechanism leads to a reduction in blood triglyceride levels. PPAR alpha is expressed mainly in skeletal muscle, heart, liver, and kidney and is thought to regulate many genes involved in the beta-oxidation of fatty acids. Activation of rat liver PPAR alpha has been shown to suppress hepatocyte apoptosis. PPAR alpha, like several other nuclear hormone receptors, heterodimerizes with retinoic X receptor (RXR) alpha to form a transcriptionally competent complex. |
| Gene ID | 5465 |
|---|---|
| Other Names | Peroxisome proliferator-activated receptor alpha, PPAR-alpha, Nuclear receptor subfamily 1 group C member 1, PPARA, NR1C1, PPAR |
| Target/Specificity | Skeletal muscle, liver, heart and kidney. |
| Dilution | WB=1:500-2000,IHC-P=1:100-500,IHC-F=1:100-500,IF=1:100-500,ELISA=1:5000-10000 |
| Storage | Store at -20 °C for one year. Avoid repeated freeze/thaw cycles. When reconstituted in sterile pH 7.4 0.01M PBS or diluent of antibody the antibody is stable for at least two weeks at 2-4 °C. |
| Name | PPARA |
|---|---|
| Synonyms | NR1C1, PPAR |
| Function | Ligand-activated transcription factor. Key regulator of lipid metabolism. Activated by the endogenous ligand 1-palmitoyl-2-oleoyl-sn- glycerol-3-phosphocholine (16:0/18:1-GPC). Activated by oleylethanolamide, a naturally occurring lipid that regulates satiety. Receptor for peroxisome proliferators such as hypolipidemic drugs and fatty acids. Regulates the peroxisomal beta-oxidation pathway of fatty acids. Functions as a transcription activator for the ACOX1 and P450 genes. Transactivation activity requires heterodimerization with RXRA and is antagonized by NR2C2. May be required for the propagation of clock information to metabolic pathways regulated by PER2. |
| Cellular Location | Nucleus. |
| Tissue Location | Skeletal muscle, liver, heart and kidney. Expressed in monocytes (PubMed:28167758). |
For Research Use Only. Not For Use In Diagnostic Procedures.
Provided below are standard protocols that you may find useful for product applications.
BACKGROUND
Peroxisome proliferators are nongenotoxic carcinogens which are purported to exert their effect on cells through their interaction with members of the nuclear hormone receptor family, termed Peroxisome Proliferator Activated Receptors (PPARs). Nuclear hormone receptors are ligand dependent intracellular proteins that stimulate transcription of specific genes by binding to specific DNA sequences following activation by the appropriate ligand. Studies indicate that PPARs are activated by peroxisome proliferators such as clofibric acid, nafenopin, and WY-14,643, as well as by some fatty acids. It has also been shown that PPARs can induce transcription of acyl coenzyme A oxidase and cytochrome P450 A6 (CYP450 A6) through interaction with specific response elements. PPAR alpha is activated by free fatty acids including linoleic, arachidonic, and oleic acids. Induction of peroxisomes by this mechanism leads to a reduction in blood triglyceride levels. PPAR alpha is expressed mainly in skeletal muscle, heart, liver, and kidney and is thought to regulate many genes involved in the beta-oxidation of fatty acids. Activation of rat liver PPAR alpha has been shown to suppress hepatocyte apoptosis. PPAR alpha, like several other nuclear hormone receptors, heterodimerizes with retinoic X receptor (RXR) alpha to form a transcriptionally competent complex.
终于等到您。ABCEPTA(百远生物)抗体产品。
点击下方“我要评价 ”按钮提交您的反馈信息,您的反馈和评价是我们最宝贵的财富之一,
我们将在1-3个工作日内处理您的反馈信息。
如有疑问,联系:0512-88856768 tech-china@abcepta.com.
















癌症的基本特征包括细胞增殖、血管生成、迁移、凋亡逃避机制和细胞永生等。找到癌症发生过程中这些通路的关键标记物和对应的抗体用于检测至关重要。
为您推荐一个泛素化位点预测神器——泛素化分析工具,可以为您的蛋白的泛素化位点作出预测和评分。
细胞自噬受体图形绘图工具为你的蛋白的细胞受体结合位点作出预测和评分,识别结合到自噬通路中的蛋白是非常重要的,便于让我们理解自噬在正常生理、病理过程中的作用,如发育、细胞分化、神经退化性疾病、压力条件下、感染和癌症。