注册 | 登录
点击这里给我发消息
所有产品
  • 所有产品
  • 一抗
  • 裂解液
>   首页   >   产品   >   一抗   >   其他   >   S100 beta Rabbit mAb   

S100 beta Rabbit mAb

     
  • 1 - S100 beta Rabbit mAb AP76045
    Western blot analysis of S100 beta in rat Brain lysates using S100B antibody.
  • 2 - S100 beta Rabbit mAb AP76045
    Western blot analysis of S100 beta in rat Brain lysates using S100 beta antibody.
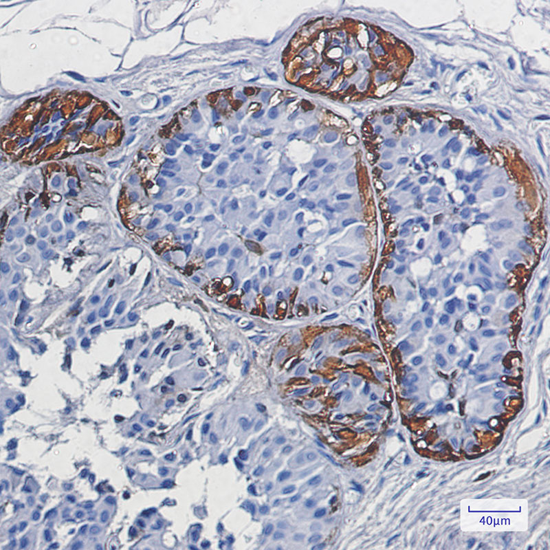
  • 8 - S100 beta Rabbit mAb AP76045
    Immunohistochemistry analysis of paraffin-embedded Human breast cancer using S100 beta antibody. High-pressure and temperature Sodium Citrate pH 6.0 was used for antigen retrieval.
  • 产品详情
  • 实验流程
  • 背景知识
Product Information
Application
  • Applications Legend:
  • E=ELISA
  • WB=Western Blotting
  • IHC=Immunohistochemistry
  • IHC-P=Immunohistochemistry (Paraffin)
  • IP=Immunoprecipitation
  • IF=Immunofluorescence
  • IC=Immunochemistry
  • ICC=Immunocytochemistry
  • FC=Flow Cytometry
  • DB=Dot Blot
WB, IHC-P
Primary Accession P04271
Reactivity Rat, Human, Mouse
Host Rabbit
Clonality Monoclonal Antibody
Isotype IgG
Conjugate Unconjugated
Purification Affinity Purified
Calculated MW 10713 Da
Additional Information
Gene ID 6285
Other Names S100B
Dilution WB~~1:1000-1:5000
IHC-P~~1:50~200
Format Liquid in 50mM Tris-Glycine(pH 7.4), 0.15M NaCl, 40%Glycerol, 0.01% sodium azide and 0.05% BSA.
StorageStore at 4°C short term. Aliquot and store at -20°C long term. Avoid freeze/thaw cycles.
Protein Information
Name S100B {ECO:0000303|PubMed:6487634, ECO:0000312|HGNC:HGNC:10500}
Function Small zinc- and- and calcium-binding protein that is highly expressed in astrocytes and constitutes one of the most abundant soluble proteins in brain (PubMed:20950652, PubMed:6487634). Weakly binds calcium but binds zinc very tightly-distinct binding sites with different affinities exist for both ions on each monomer (PubMed:20950652, PubMed:6487634). Physiological concentrations of potassium ion antagonize the binding of both divalent cations, especially affecting high-affinity calcium-binding sites (By similarity). Acts as a neurotrophic factor that promotes astrocytosis and axonal proliferation (By similarity). Involved in innervation of thermogenic adipose tissue by acting as an adipocyte-derived neurotrophic factor that promotes sympathetic innervation of adipose tissue (By similarity). Binds to and initiates the activation of STK38 by releasing autoinhibitory intramolecular interactions within the kinase (By similarity). Interaction with AGER after myocardial infarction may play a role in myocyte apoptosis by activating ERK1/2 and p53/TP53 signaling (By similarity). Could assist ATAD3A cytoplasmic processing, preventing aggregation and favoring mitochondrial localization (PubMed:20351179). May mediate calcium-dependent regulation on many physiological processes by interacting with other proteins, such as TPR-containing proteins, and modulating their activity (PubMed:22399290).
Cellular Location Cytoplasm. Nucleus. Secreted {ECO:0000250|UniProtKB:P50114} Note=Secretion into the medium is promoted by interaction with isoform CLSTN3beta of CLSTN3. {ECO:0000250|UniProtKB:P50114}
Tissue Location Although predominant among the water-soluble brain proteins, S100 is also found in a variety of other tissues
Research Areas

For Research Use Only. Not For Use In Diagnostic Procedures.

BACKGROUND

S100B is a member of the S100 family of proteins containing 2 EF-hand calcium-binding motifs. S100 proteins are localized in the cytoplasm and/or nucleus of a wide range of cells and are involved in the regulation of a number of cellular processes such as cell cycle progression and differentiation. S100B may function in neurite extension, proliferation of melanoma cells, stimulation of Ca2+ fluxes, inhibition of PKC-mediated phosphorylation, astrocytosis and axonal proliferation, and inhibition of microtubule assembly. Chromosomal rearrangements and altered expression of this gene have been implicated in several diseases, including Alzheimer's disease, Down's syndrome, epilepsy, amyotrophic lateral sclerosis, melanoma, and type I diabetes.

FeedBack

终于等到您。ABCEPTA(百远生物)抗体产品。
点击下方“我要评价 ”按钮提交您的反馈信息,您的反馈和评价是我们最宝贵的财富之一,
我们将在1-3个工作日内处理您的反馈信息。

如有疑问,联系:0512-88856768 tech-china@abcepta.com.


我要评价