eIF4E Rabbit mAb
- 产品详情
- 实验流程
- 背景知识
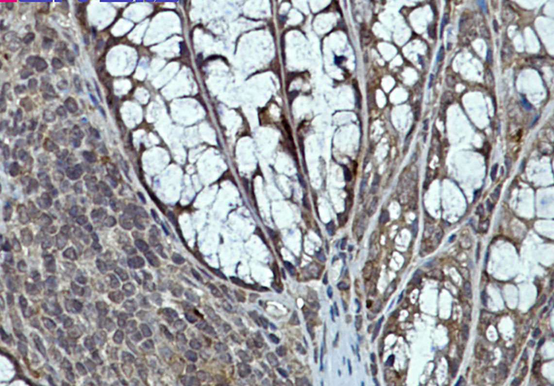
Application
| WB, IHC-P, FC, IP |
|---|---|
| Primary Accession | P06730 |
| Reactivity | Rat, Human, Mouse |
| Host | Rabbit |
| Clonality | Monoclonal Antibody |
| Isotype | IgG |
| Conjugate | Unconjugated |
| Purification | Affinity Purified |
| Calculated MW | 25097 Da |
| Gene ID | 1977 |
|---|---|
| Other Names | EIF4E |
| Dilution | WB~~1:500-1:1000 IHC-P~~1:50~200 FC~~1:20-1:50 IP~~1:20 |
| Format | Liquid in 50mM Tris-Glycine(pH 7.4), 0.15M NaCl, 40%Glycerol, 0.01% sodium azide and 0.05% BSA. |
| Storage | Store at 4°C short term. Aliquot and store at -20°C long term. Avoid freeze/thaw cycles. |
| Name | EIF4E (HGNC:3287) |
|---|---|
| Synonyms | EIF4EL1, EIF4F |
| Function | Acts in the cytoplasm to initiate and regulate protein synthesis and is required in the nucleus for export of a subset of mRNAs from the nucleus to the cytoplasm which promotes processes such as RNA capping, processing and splicing (PubMed:11606200, PubMed:22578813, PubMed:22684010, PubMed:24335285, PubMed:29987188). Component of the protein complex eIF4F, which is involved in the recognition of the mRNA cap, ATP-dependent unwinding of 5'-terminal secondary structure and recruitment of mRNA to the ribosome (By similarity). This protein recognizes and binds the 7-methylguanosine (m7G)-containing mRNA cap during an early step in the initiation of protein synthesis and facilitates ribosome binding by inducing the unwinding of the mRNAs secondary structures (PubMed:16271312, PubMed:22578813). Together with EIF4G1, antagonizes the scanning promoted by EIF1-EIF4G1 and is required for TISU translation, a process where the TISU element recognition makes scanning unnecessary (PubMed:29987188). In addition to its role in translation initiation, also acts as a regulator of translation and stability in the cytoplasm (PubMed:24335285). Component of the CYFIP1-EIF4E-FMR1 complex which binds to the mRNA cap and mediates translational repression: in the complex, EIF4E mediates the binding to the mRNA cap (By similarity). Component of a multiprotein complex that sequesters and represses translation of proneurogenic factors during neurogenesis (By similarity). In P-bodies, component of a complex that mediates the storage of translationally inactive mRNAs in the cytoplasm and prevents their degradation (PubMed:24335285). May play an important role in spermatogenesis through translational regulation of stage-specific mRNAs during germ cell development (By similarity). As well as its roles in translation, also involved in mRNA nucleocytoplasmic transport (By similarity). Its role in mRNA export from the nucleus to the cytoplasm relies on its ability to bind the m7G cap of RNAs and on the presence of the 50-nucleotide EIF4E sensitivity element (4ESE) in the 3'UTR of sensitive transcripts (By similarity). Interaction with the 4ESE is mediated by LRPPRC which binds simultaneously to both EIF4E and the 4ESE, thereby acting as a platform for assembly for the RNA export complex (By similarity). EIF4E-dependent mRNA export is independent of ongoing protein or RNA synthesis and is also NFX1-independent but is XPO1-dependent with LRPPRC interacting with XPO1 to form an EIF4E- dependent mRNA export complex (By similarity). Alters the composition of the cytoplasmic face of the nuclear pore to promote RNA export by reducing RANBP2 expression, relocalizing nucleoporin NUP214 and increasing expression of RANBP1 and RNA export factors DDX19 and GLE1 (By similarity). Promotes the nuclear export of cyclin CCND1 mRNA (By similarity). Promotes the nuclear export of NOS2/iNOS mRNA (PubMed:23471078). Promotes the nuclear export of MDM2 mRNA (PubMed:22684010). Promotes the export of additional mRNAs, including others involved in the cell cycle (By similarity). In the nucleus, binds to capped splice factor-encoding mRNAs and stimulates their nuclear export to enhance splice factor production by increasing their cytoplasmic availability to the translation machinery (By similarity). May also regulate splicing through interaction with the spliceosome in an RNA and m7G cap-dependent manner (By similarity). Also binds to some pre-mRNAs and may play a role in their recruitment to the spliceosome (By similarity). Promotes steady-state capping of a subset of coding and non-coding RNAs by mediating nuclear export of capping machinery mRNAs including RNMT, RNGTT and RAMAC to enhance their translation (By similarity). Stimulates mRNA 3'-end processing by promoting the expression of several core cleavage complex factors required for mRNA cleavage and polyadenylation, and may also have a direct effect through its interaction with the CPSF3 cleavage enzyme (By similarity). Rescues cells from apoptosis by promoting activation of serine/threonine- protein kinase AKT1 through mRNA export of NBS1 which potentiates AKT1 phosphorylation and also through mRNA export of AKT1 effectors, allowing for increased production of these proteins (By similarity). |
| Cellular Location | Cytoplasm, P-body. Cytoplasm. Cytoplasm, Stress granule. Nucleus. Nucleus speckle. Nucleus, nuclear body Note=Interaction with EIF4ENIF1/4E-T is required for localization to processing bodies (P-bodies) (PubMed:16157702, PubMed:24335285, PubMed:25923732). Imported in the nucleus via interaction with EIF4ENIF1/4E-T via a piggy-back mechanism (PubMed:10856257) Sequestered in the nucleus by EIF4EBP1 and EIF4EBP2 (By similarity) {ECO:0000250|UniProtKB:P63073, ECO:0000269|PubMed:10856257, ECO:0000269|PubMed:16157702, ECO:0000269|PubMed:24335285, ECO:0000269|PubMed:25923732} |
For Research Use Only. Not For Use In Diagnostic Procedures.
Provided below are standard protocols that you may find useful for product applications.
BACKGROUND
eIF4E, a protein modulates translation of maternal mRNAs in early embryos before the onset of zygotic transcription. eIF4E also influences the overall rate of translation. eIF4E binds to the 7 methyl GTP cap structure of eukaryotic mRNAs. Phosphorylation of eIF4E on serine 209 regulates the affinity of this protein for the 7 methyl GTP cap and/or RNA. Phosphorylation also enhances the interaction of eIF4E with eIF4G, which form a complex known as eIF4F. eIF4E phosphorylation is correlated with increased translational rate in a number of cell types.
终于等到您。ABCEPTA(百远生物)抗体产品。
点击下方“我要评价 ”按钮提交您的反馈信息,您的反馈和评价是我们最宝贵的财富之一,
我们将在1-3个工作日内处理您的反馈信息。
如有疑问,联系:0512-88856768 tech-china@abcepta.com.
















癌症的基本特征包括细胞增殖、血管生成、迁移、凋亡逃避机制和细胞永生等。找到癌症发生过程中这些通路的关键标记物和对应的抗体用于检测至关重要。
为您推荐一个泛素化位点预测神器——泛素化分析工具,可以为您的蛋白的泛素化位点作出预测和评分。
细胞自噬受体图形绘图工具为你的蛋白的细胞受体结合位点作出预测和评分,识别结合到自噬通路中的蛋白是非常重要的,便于让我们理解自噬在正常生理、病理过程中的作用,如发育、细胞分化、神经退化性疾病、压力条件下、感染和癌症。