CD80 Polyclonal Antibody
- 产品详情
- 实验流程
- 背景知识
Application
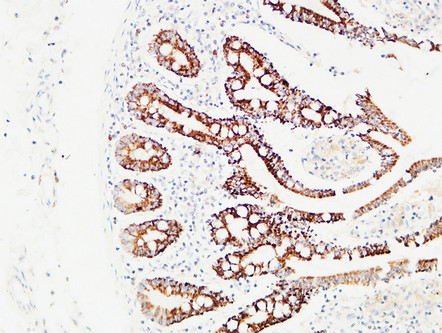
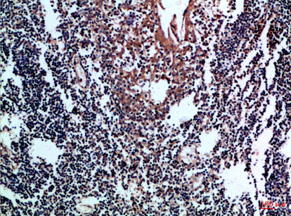
| IHC-P, IF, ICC, E |
|---|---|
| Primary Accession | P33681 |
| Reactivity | Human, Rat, Mouse |
| Host | Rabbit |
| Clonality | Polyclonal |
| Calculated MW | 33048 Da |
| Gene ID | 941 |
|---|---|
| Other Names | T-lymphocyte activation antigen CD80 (Activation B7-1 antigen) (BB1) (CTLA-4 counter-receptor B7.1) (B7) (CD antigen CD80) |
| Dilution | IHC-P~~IHC-p 1:50-200, ELISA 1:10000-20000 IF~~1:50~200 ICC~~N/A E~~N/A |
| Format | Liquid in PBS containing 50% glycerol, 0.5% BSA and 0.09% (W/V) sodium azide. |
| Storage Conditions | -20℃ |
| Name | CD80 |
|---|---|
| Synonyms | CD28LG, CD28LG1, LAB7 |
| Function | Costimulatory molecule that belongs to the immunoglobulin superfamily that plays an important role in T-lymphocyte activation (PubMed:38467718). Acts as the primary auxiliary signal augmenting the MHC/TCR signal in naive T-cells by acting as a ligand for the CD28 receptor which is constitutively expressed on the cell surface of T- cells (PubMed:12196291). In turn, activates different signaling pathways such as NF-kappa-B or MAPK leading to the production of different cytokines (PubMed:10438913). Also acts as an inhibitor of T- cell activation by acting as a ligand for CTLA4, a decoy receptor, thereby blocking CD28-mediated T-cell priming (PubMed:10583602, PubMed:11279502). In addition, CD28/CD80 costimulatory signal stimulates glucose metabolism and ATP synthesis of T-cells by activating the PI3K/Akt signaling pathway (PubMed:12121659). Also acts as a regulator of PDL1/PDCD1 interactions to limit excess engagement of PDL1 and its inhibitory role in immune responses (PubMed:36727298). Expressed on B-cells, plays a critical role in regulating interactions between B-cells and T-cells in both early and late germinal center responses, which are crucial for the generation of effective humoral immune responses (By similarity). |
| Cellular Location | Cell membrane; Single-pass type I membrane protein |
| Tissue Location | Expressed on the surfaces of antigen-presenting cells. |
Research Areas
For Research Use Only. Not For Use In Diagnostic Procedures.
Application Protocols
Provided below are standard protocols that you may find useful for product applications.
BACKGROUND
Involved in the costimulatory signal essential for T- lymphocyte activation. T-cell proliferation and cytokine production is induced by the binding of CD28, binding to CTLA-4 has opposite effects and inhibits T-cell activation.
终于等到您。ABCEPTA(百远生物)抗体产品。
点击下方“我要评价 ”按钮提交您的反馈信息,您的反馈和评价是我们最宝贵的财富之一,
我们将在1-3个工作日内处理您的反馈信息。
如有疑问,联系:0512-88856768 tech-china@abcepta.com.
¥ 1,500.00
Cat# AP74197
















癌症的基本特征包括细胞增殖、血管生成、迁移、凋亡逃避机制和细胞永生等。找到癌症发生过程中这些通路的关键标记物和对应的抗体用于检测至关重要。
为您推荐一个泛素化位点预测神器——泛素化分析工具,可以为您的蛋白的泛素化位点作出预测和评分。
细胞自噬受体图形绘图工具为你的蛋白的细胞受体结合位点作出预测和评分,识别结合到自噬通路中的蛋白是非常重要的,便于让我们理解自噬在正常生理、病理过程中的作用,如发育、细胞分化、神经退化性疾病、压力条件下、感染和癌症。