IL-17C Polyclonal Antibody
- 产品详情
- 实验流程
- 背景知识
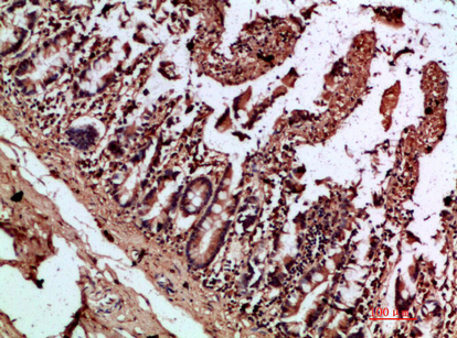
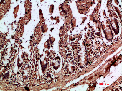
Application
| IHC-P, IF, ICC, E |
|---|---|
| Primary Accession | Q9P0M4 |
| Reactivity | Human, Rat, Mouse |
| Host | Rabbit |
| Clonality | Polyclonal |
| Calculated MW | 21765 Da |
| Gene ID | 27189 |
|---|---|
| Other Names | Interleukin-17C (IL-17C) (Cytokine CX2) |
| Dilution | IHC-P~~IHC-p 1:50-200, ELISA 1:10000-20000 IF~~1:50~200 ICC~~N/A E~~N/A |
| Format | Liquid in PBS containing 50% glycerol, 0.5% BSA and 0.09% (W/V) sodium azide. |
| Storage Conditions | -20℃ |
| Name | IL17C |
|---|---|
| Function | Cytokine that plays a crucial role in innate immunity of the epithelium, including to intestinal bacterial pathogens, in an autocrine manner. Stimulates the production of antibacterial peptides and pro-inflammatory molecules for host defense by signaling through the NF-kappa-B and MAPK pathways. Acts synergically with IL22 in inducing the expression of antibacterial peptides, including S100A8, S100A9, REG3A and REG3G. Synergy is also observed with TNF and IL1B in inducing DEFB2 from keratinocytes. Depending on the type of insult, may have both protective and pathogenic properties, either by maintaining epithelial homeostasis after an inflammatory challenge or by promoting inflammatory phenotype. Enhanced IL17C/IL17RE signaling may also lead to greater susceptibility to autoimmune diseases. |
| Cellular Location | Secreted. |
For Research Use Only. Not For Use In Diagnostic Procedures.
Provided below are standard protocols that you may find useful for product applications.
BACKGROUND
Cytokine that plays a crucial role in innate immunity of the epithelium, including to intestinal bacterial pathogens, in an autocrine manner. Stimulates the production of antibacterial peptides and proinflammatory molecules for host defense by signaling through the NF-kappa-B and MAPK pathways. Acts synergically with IL22 in inducing the expression of antibacterial peptides, including S100A8, S100A9, REG3A and REG3G. Synergy is also observed with TNF and IL1B in inducing DEFB2 from keratinocytes. Depending on the type of insult, may have both protective and pathogenic properties, either by maintaining epithelial homeostasis after an inflammatory challenge or by promoting inflammatory phenotype. Enhanced IL17C/IL17RE signaling may also lead to greater susceptibility to autoimmune diseases.
终于等到您。ABCEPTA(百远生物)抗体产品。
点击下方“我要评价 ”按钮提交您的反馈信息,您的反馈和评价是我们最宝贵的财富之一,
我们将在1-3个工作日内处理您的反馈信息。
如有疑问,联系:0512-88856768 tech-china@abcepta.com.
















癌症的基本特征包括细胞增殖、血管生成、迁移、凋亡逃避机制和细胞永生等。找到癌症发生过程中这些通路的关键标记物和对应的抗体用于检测至关重要。
为您推荐一个泛素化位点预测神器——泛素化分析工具,可以为您的蛋白的泛素化位点作出预测和评分。
细胞自噬受体图形绘图工具为你的蛋白的细胞受体结合位点作出预测和评分,识别结合到自噬通路中的蛋白是非常重要的,便于让我们理解自噬在正常生理、病理过程中的作用,如发育、细胞分化、神经退化性疾病、压力条件下、感染和癌症。