PGK2 Antibody (N-term)
Purified Rabbit Polyclonal Antibody (Pab)
- 产品详情
- 实验流程
- 背景知识
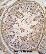
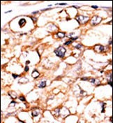
Application
| WB, IHC-P, E |
|---|---|
| Primary Accession | P07205 |
| Other Accession | Q4R3K4 |
| Reactivity | Human |
| Predicted | Monkey |
| Host | Rabbit |
| Clonality | Polyclonal |
| Isotype | Rabbit IgG |
| Calculated MW | 44796 Da |
| Antigen Region | 117-145 aa |
| Gene ID | 5232 |
|---|---|
| Other Names | Phosphoglycerate kinase 2, Phosphoglycerate kinase, testis specific, PGK2, PGKB |
| Target/Specificity | This PGK2 antibody is generated from rabbits immunized with a KLH conjugated synthetic peptide between 117-145 amino acids from the N-terminal region of human PGK2. |
| Dilution | WB~~1:1000 IHC-P~~1:100~500 E~~Use at an assay dependent concentration. |
| Format | Purified polyclonal antibody supplied in PBS with 0.09% (W/V) sodium azide. This antibody is prepared by Saturated Ammonium Sulfate (SAS) precipitation followed by dialysis against PBS. |
| Storage | Maintain refrigerated at 2-8°C for up to 2 weeks. For long term storage store at -20°C in small aliquots to prevent freeze-thaw cycles. |
| Precautions | PGK2 Antibody (N-term) is for research use only and not for use in diagnostic or therapeutic procedures. |
| Name | PGK2 (HGNC:8898) |
|---|---|
| Synonyms | PGKB |
| Function | Catalyzes the reversible conversion of 1,3-diphosphoglycerate to 3-phosphoglycerate and plays a role in glycolysis and gluconeogenesis (By similarity). Essential for sperm motility and male fertility (PubMed:26677959). Not required for the completion of spermatogenesis (By similarity). |
| Cellular Location | Cytoplasm. |
| Tissue Location | Mainly found in round spermatids. Localized on the principle piece in the sperm (at protein level). Testis-specific Expression significantly decreased in the testis of elderly men |
For Research Use Only. Not For Use In Diagnostic Procedures.
Provided below are standard protocols that you may find useful for product applications.
BACKGROUND
PGK2 is a form of phosphoglycerate kinase unique to spermatozoa. The autosomal PGK2 gene lacks introns and contains characteristics of a processed gene. The conservation of function in this processed PGK2 gene and its tissue-specific expression in spermatogenesis suggests that it exists as a compensatory response to the inactivation of the X-linked PGK1 gene in spermatogenic cells before meiosis.
REFERENCES
Zhang, L.P., et al., Biol. Reprod. 60(6):1329-1337 (1999).
McCarrey, J.R., et al., Dev. Genet. 19(4):321-332 (1996).
Blanche, H., et al., Genomics 9(3):420-428 (1991).
McCarrey, J.R., et al., Nature 326(6112):501-505 (1987).
Michelson, A.M., et al., J. Biol. Chem. 260(11):6982-6992 (1985).
终于等到您。ABCEPTA(百远生物)抗体产品。
点击下方“我要评价 ”按钮提交您的反馈信息,您的反馈和评价是我们最宝贵的财富之一,
我们将在1-3个工作日内处理您的反馈信息。
如有疑问,联系:0512-88856768 tech-china@abcepta.com.
















癌症的基本特征包括细胞增殖、血管生成、迁移、凋亡逃避机制和细胞永生等。找到癌症发生过程中这些通路的关键标记物和对应的抗体用于检测至关重要。
为您推荐一个泛素化位点预测神器——泛素化分析工具,可以为您的蛋白的泛素化位点作出预测和评分。
细胞自噬受体图形绘图工具为你的蛋白的细胞受体结合位点作出预测和评分,识别结合到自噬通路中的蛋白是非常重要的,便于让我们理解自噬在正常生理、病理过程中的作用,如发育、细胞分化、神经退化性疾病、压力条件下、感染和癌症。