JNK1/2/3 (phospho Thr183/Y185) Polyclonal Antibody
- 产品详情
- 实验流程
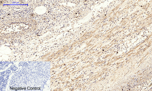
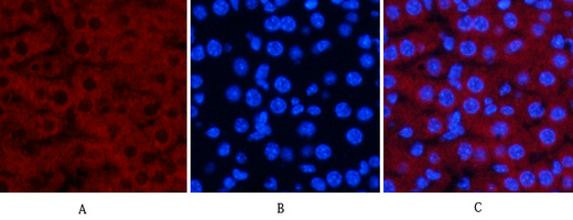
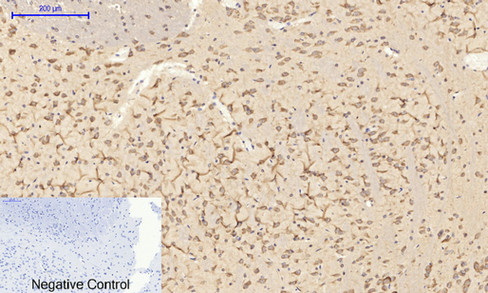
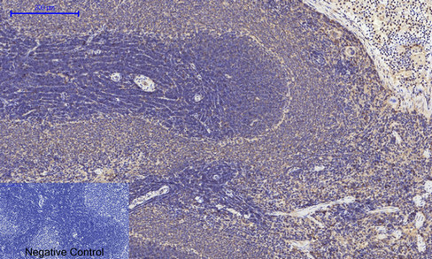
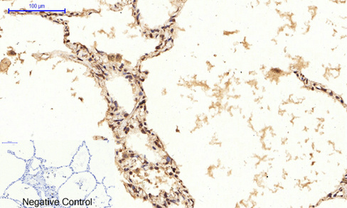
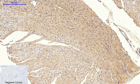
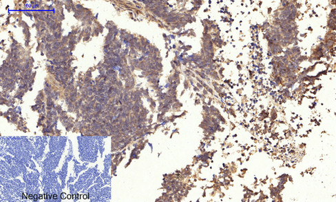
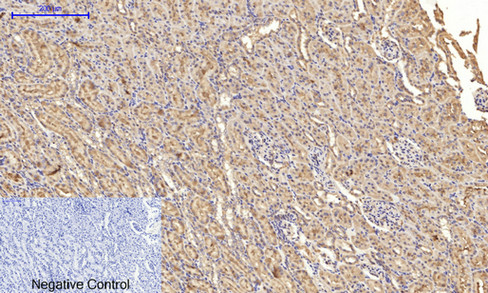
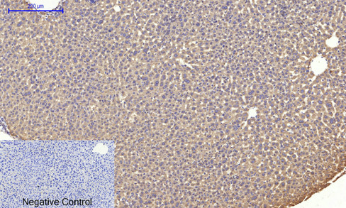
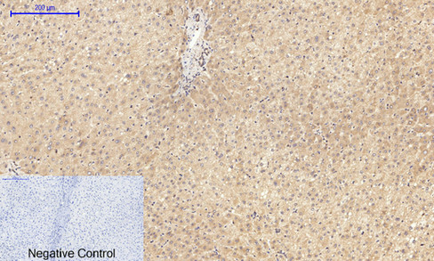
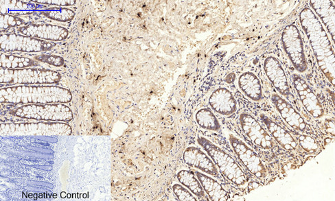
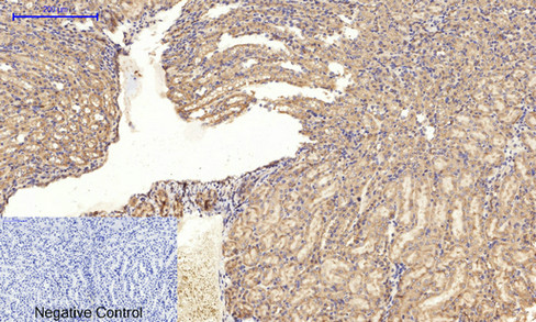
Application
| IF, ICC, WB, IHC-P, E |
|---|---|
| Primary Accession | P45983, P45984, P53779 |
| Reactivity | Human, Mouse, Rat, Chicken, Pig, Fish |
| Host | Rabbit |
| Clonality | Polyclonal |
| Calculated MW | 48296 Da |
| Gene ID | 5599 |
|---|---|
| Other Names | MAPK8; JNK1; PRKM8; SAPK1; SAPK1C; Mitogen-activated protein kinase 8; MAP kinase 8; MAPK 8; JNK-46; Stress-activated protein kinase 1c; SAPK1c; Stress-activated protein kinase JNK1; c-Jun N-terminal kinase 1; MAPK9; JNK2; PRKM9; SAPK1A; Mi |
| Dilution | IF~~IF: 1:50-200 WB 1:500-2000, IHC 1:50-300 IHC 1:50-300 ICC~~N/A WB~~IF: 1:50-200 WB 1:500-2000, IHC 1:50-300 IHC 1:50-300 IHC-P~~IF: 1:50-200 WB 1:500-2000, IHC 1:50-300 IHC 1:50-300 E~~N/A |
| Format | Liquid in PBS containing 50% glycerol, 0.5% BSA and 0.09% (W/V) sodium azide. |
| Storage Conditions | -20℃ |
| Name | MAPK8 |
|---|---|
| Function | Serine/threonine-protein kinase involved in various processes such as cell proliferation, differentiation, migration, transformation and programmed cell death. Extracellular stimuli such as pro- inflammatory cytokines or physical stress stimulate the stress- activated protein kinase/c-Jun N-terminal kinase (SAP/JNK) signaling pathway (PubMed:28943315). In this cascade, two dual specificity kinases MAP2K4/MKK4 and MAP2K7/MKK7 phosphorylate and activate MAPK8/JNK1. In turn, MAPK8/JNK1 phosphorylates a number of transcription factors, primarily components of AP-1 such as JUN, JDP2 and ATF2 and thus regulates AP-1 transcriptional activity (PubMed:18307971). Phosphorylates the replication licensing factor CDT1, inhibiting the interaction between CDT1 and the histone H4 acetylase HBO1 to replication origins (PubMed:21856198). Loss of this interaction abrogates the acetylation required for replication initiation (PubMed:21856198). Promotes stressed cell apoptosis by phosphorylating key regulatory factors including p53/TP53 and Yes- associates protein YAP1 (PubMed:21364637). In T-cells, MAPK8 and MAPK9 are required for polarized differentiation of T-helper cells into Th1 cells. Contributes to the survival of erythroid cells by phosphorylating the antagonist of cell death BAD upon EPO stimulation (PubMed:21095239). Mediates starvation-induced BCL2 phosphorylation, BCL2 dissociation from BECN1, and thus activation of autophagy (PubMed:18570871). Phosphorylates STMN2 and hence regulates microtubule dynamics, controlling neurite elongation in cortical neurons (By similarity). In the developing brain, through its cytoplasmic activity on STMN2, negatively regulates the rate of exit from multipolar stage and of radial migration from the ventricular zone (By similarity). Phosphorylates several other substrates including heat shock factor protein 4 (HSF4), the deacetylase SIRT1, ELK1, or the E3 ligase ITCH (PubMed:16581800, PubMed:17296730, PubMed:20027304). Phosphorylates the CLOCK-BMAL1 heterodimer and plays a role in the regulation of the circadian clock (PubMed:22441692). Phosphorylates the heat shock transcription factor HSF1, suppressing HSF1-induced transcriptional activity (PubMed:10747973). Phosphorylates POU5F1, which results in the inhibition of POU5F1's transcriptional activity and enhances its proteasomal degradation (By similarity). Phosphorylates JUND and this phosphorylation is inhibited in the presence of MEN1 (PubMed:22327296). In neurons, phosphorylates SYT4 which captures neuronal dense core vesicles at synapses (By similarity). Phosphorylates EIF4ENIF1/4-ET in response to oxidative stress, promoting P-body assembly (PubMed:22966201). Phosphorylates SIRT6 in response to oxidative stress, stimulating its mono-ADP-ribosyltransferase activity (PubMed:27568560). Phosphorylates NLRP3, promoting assembly of the NLRP3 inflammasome (PubMed:28943315). Phosphorylates ALKBH5 in response to reactive oxygen species (ROS), promoting ALKBH5 sumoylation and inactivation (PubMed:34048572). |
| Cellular Location | Cytoplasm. Nucleus. Synapse {ECO:0000250|UniProtKB:P49185}. Note=In the cortical neurons, predominantly cytoplasmic and associated with the Golgi apparatus and endosomal fraction. Increased neuronal activity increases phosphorylated form at synapses (By similarity). Colocalizes with POU5F1 in the nucleus. {ECO:0000250|UniProtKB:P49185, ECO:0000250|UniProtKB:Q91Y86} |
Research Areas
For Research Use Only. Not For Use In Diagnostic Procedures.
Application Protocols
Provided below are standard protocols that you may find useful for product applications.
终于等到您。ABCEPTA(百远生物)抗体产品。
点击下方“我要评价 ”按钮提交您的反馈信息,您的反馈和评价是我们最宝贵的财富之一,
我们将在1-3个工作日内处理您的反馈信息。
如有疑问,联系:0512-88856768 tech-china@abcepta.com.
¥ 1,500.00
Cat# AP67089
















癌症的基本特征包括细胞增殖、血管生成、迁移、凋亡逃避机制和细胞永生等。找到癌症发生过程中这些通路的关键标记物和对应的抗体用于检测至关重要。
为您推荐一个泛素化位点预测神器——泛素化分析工具,可以为您的蛋白的泛素化位点作出预测和评分。
细胞自噬受体图形绘图工具为你的蛋白的细胞受体结合位点作出预测和评分,识别结合到自噬通路中的蛋白是非常重要的,便于让我们理解自噬在正常生理、病理过程中的作用,如发育、细胞分化、神经退化性疾病、压力条件下、感染和癌症。