Cleaved-PARP-1 (D214) Polyclonal Antibody
- 产品详情
- 实验流程
- 背景知识
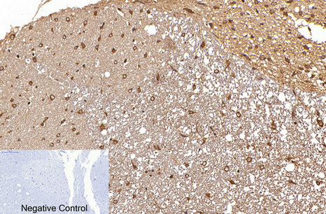
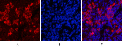
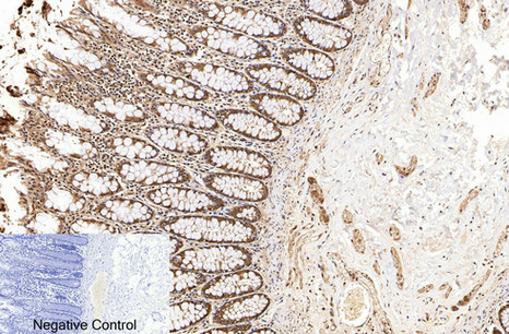
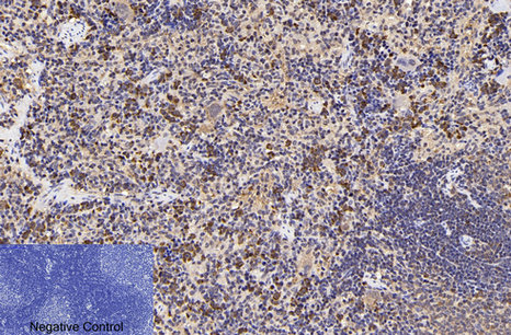
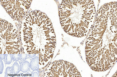
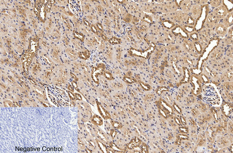
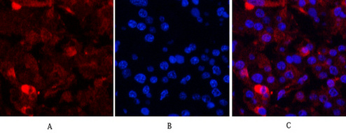
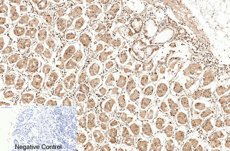
Application
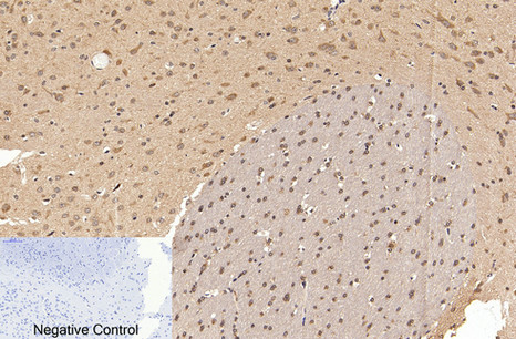
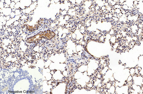
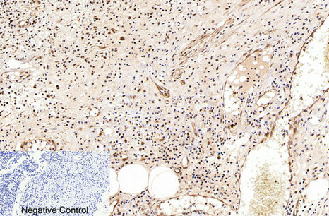
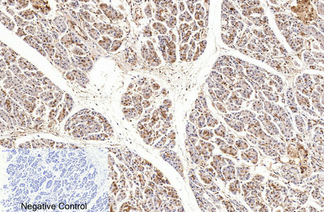
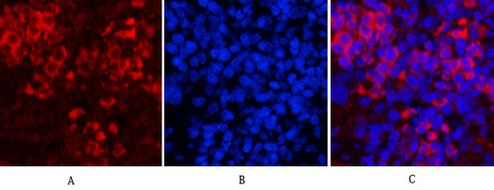
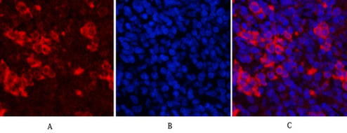
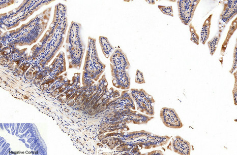
| WB, IHC-P, IF, ICC, E |
|---|---|
| Primary Accession | P09874 |
| Reactivity | Human, Mouse |
| Host | Rabbit |
| Clonality | Polyclonal |
| Calculated MW | 113084 Da |
| Gene ID | 142 |
|---|---|
| Other Names | PARP1; ADPRT; PPOL; Poly [ADP-ribose] polymerase 1; PARP-1; ADP-ribosyltransferase diphtheria toxin-like 1; ARTD1; NAD(+) ADP-ribosyltransferase 1; ADPRT 1; Poly[ADP-ribose] synthase 1 |
| Dilution | WB~~WB 1:500-2000, IF 1:50-300, IHC 1:50-300 IHC-P~~WB 1:500-2000, IF 1:50-300, IHC 1:50-300 IF~~1:50~200 ICC~~N/A E~~N/A |
| Format | Liquid in PBS containing 50% glycerol, 0.5% BSA and 0.09% (W/V) sodium azide. |
| Storage Conditions | -20℃ |
| Name | PARP1 {ECO:0000303|PubMed:21680843, ECO:0000312|HGNC:HGNC:270} |
|---|---|
| Function | Poly-ADP-ribosyltransferase that mediates poly-ADP- ribosylation of proteins and plays a key role in DNA repair (PubMed:17177976, PubMed:18055453, PubMed:18172500, PubMed:19344625, PubMed:19661379, PubMed:20388712, PubMed:21680843, PubMed:22582261, PubMed:23230272, PubMed:25043379, PubMed:26344098, PubMed:26626479, PubMed:26626480, PubMed:30104678, PubMed:31796734, PubMed:32028527, PubMed:32241924, PubMed:32358582, PubMed:33186521, PubMed:34465625, PubMed:34737271). Mediates glutamate, aspartate, serine, histidine or tyrosine ADP-ribosylation of proteins: the ADP-D-ribosyl group of NAD(+) is transferred to the acceptor carboxyl group of target residues and further ADP-ribosyl groups are transferred to the 2'-position of the terminal adenosine moiety, building up a polymer with an average chain length of 20-30 units (PubMed:19764761, PubMed:25043379, PubMed:28190768, PubMed:29954836, PubMed:35393539, PubMed:7852410, PubMed:9315851). Serine ADP-ribosylation of proteins constitutes the primary form of ADP-ribosylation of proteins in response to DNA damage (PubMed:33186521, PubMed:34874266). Specificity for the different amino acids is conferred by interacting factors, such as HPF1 and NMNAT1 (PubMed:28190768, PubMed:29954836, PubMed:32028527, PubMed:33186521, PubMed:33589610, PubMed:34625544, PubMed:34874266). Following interaction with HPF1, catalyzes serine ADP-ribosylation of target proteins; HPF1 confers serine specificity by completing the PARP1 active site (PubMed:28190768, PubMed:29954836, PubMed:32028527, PubMed:33186521, PubMed:33589610, PubMed:34625544, PubMed:34874266). Also catalyzes tyrosine ADP-ribosylation of target proteins following interaction with HPF1 (PubMed:29954836, PubMed:30257210). Following interaction with NMNAT1, catalyzes glutamate and aspartate ADP- ribosylation of target proteins; NMNAT1 confers glutamate and aspartate specificity (By similarity). PARP1 initiates the repair of DNA breaks: recognizes and binds DNA breaks within chromatin and recruits HPF1, licensing serine ADP-ribosylation of target proteins, such as histones (H2BS6ADPr and H3S10ADPr), thereby promoting decompaction of chromatin and the recruitment of repair factors leading to the reparation of DNA strand breaks (PubMed:17177976, PubMed:18172500, PubMed:19344625, PubMed:19661379, PubMed:23230272, PubMed:27067600, PubMed:34465625, PubMed:34874266). HPF1 initiates serine ADP-ribosylation but restricts the polymerase activity of PARP1 in order to limit the length of poly- ADP-ribose chains (PubMed:33683197, PubMed:34732825, PubMed:34795260). In addition to base excision repair (BER) pathway, also involved in double-strand breaks (DSBs) repair: together with TIMELESS, accumulates at DNA damage sites and promotes homologous recombination repair by mediating poly-ADP-ribosylation (PubMed:26344098, PubMed:30356214). Mediates the poly-ADP-ribosylation of a number of proteins, including itself, APLF, CHFR, RPA1 and NFAT5 (PubMed:17396150, PubMed:19764761, PubMed:24906880, PubMed:34049076). In addition to proteins, also able to ADP-ribosylate DNA: catalyzes ADP-ribosylation of DNA strand break termini containing terminal phosphates and a 2'-OH group in single- and double-stranded DNA, respectively (PubMed:27471034). Required for PARP9 and DTX3L recruitment to DNA damage sites (PubMed:23230272). PARP1- dependent PARP9-DTX3L-mediated ubiquitination promotes the rapid and specific recruitment of 53BP1/TP53BP1, UIMC1/RAP80, and BRCA1 to DNA damage sites (PubMed:23230272). PARP1-mediated DNA repair in neurons plays a role in sleep: senses DNA damage in neurons and promotes sleep, facilitating efficient DNA repair (By similarity). In addition to DNA repair, also involved in other processes, such as transcription regulation, programmed cell death, membrane repair, adipogenesis and innate immunity (PubMed:15607977, PubMed:17177976, PubMed:19344625, PubMed:27256882, PubMed:32315358, PubMed:32844745, PubMed:35124853, PubMed:35393539, PubMed:35460603). Acts as a repressor of transcription: binds to nucleosomes and modulates chromatin structure in a manner similar to histone H1, thereby altering RNA polymerase II (PubMed:15607977, PubMed:22464733). Acts both as a positive and negative regulator of transcription elongation, depending on the context (PubMed:27256882, PubMed:35393539). Acts as a positive regulator of transcription elongation by mediating poly-ADP- ribosylation of NELFE, preventing RNA-binding activity of NELFE and relieving transcription pausing (PubMed:27256882). Acts as a negative regulator of transcription elongation in response to DNA damage by catalyzing poly-ADP-ribosylation of CCNT1, disrupting the phase separation activity of CCNT1 and subsequent activation of CDK9 (PubMed:35393539). Involved in replication fork progression following interaction with CARM1: mediates poly-ADP-ribosylation at replication forks, slowing fork progression (PubMed:33412112). Poly-ADP-ribose chains generated by PARP1 also play a role in poly-ADP-ribose-dependent cell death, a process named parthanatos (By similarity). Also acts as a negative regulator of the cGAS-STING pathway (PubMed:32315358, PubMed:32844745, PubMed:35460603). Acts by mediating poly-ADP- ribosylation of CGAS: PARP1 translocates into the cytosol following phosphorylation by PRKDC and catalyzes poly-ADP-ribosylation and inactivation of CGAS (PubMed:35460603). Acts as a negative regulator of adipogenesis: catalyzes poly-ADP-ribosylation of histone H2B on 'Glu- 35' (H2BE35ADPr) following interaction with NMNAT1, inhibiting phosphorylation of H2B at 'Ser-36' (H2BS36ph), thereby blocking expression of pro-adipogenetic genes (By similarity). Involved in the synthesis of ATP in the nucleus, together with NMNAT1, PARG and NUDT5 (PubMed:27257257). Nuclear ATP generation is required for extensive chromatin remodeling events that are energy-consuming (PubMed:27257257). |
| Cellular Location | Chromosome. Nucleus. Nucleus, nucleolus. Cytoplasm, cytosol. Note=Localizes to sites of DNA damage (PubMed:22683995, PubMed:23230272, PubMed:26344098, PubMed:27568560, PubMed:30675909, PubMed:32241924, PubMed:32358582, PubMed:34625544, PubMed:34795260). Recognizes (via PARP-type zinc-fingers) and binds DNA strand breaks (PubMed:22683995). Also binds normal/undamaged chromatin (PubMed:15607977). Auto poly-ADP-ribosylation promotes dissociation from chromatin (PubMed:15607977, PubMed:30675909, PubMed:32358582, PubMed:34625544). Extracted from chromatin by VCP/p97 following sumoylation and ubiquitination (PubMed:35013556). Translocates from the nucleus to the cytosol following phosphorylation by PRKDC (PubMed:35460603). Recruited to replication forks following interaction with CARM1 (PubMed:33412112). [Poly [ADP-ribose] polymerase 1, processed C- terminus]: Cytoplasm. Note=Following cleavage by caspase-3 (CASP3) and caspase-7 (CASP7) in response to apoptosis, translocates into the cytoplasm, where the auto-poly-ADP- ribosylated form serves as a poly-ADP-ribose carrier to induce AIFM1- mediated apoptosis. |
For Research Use Only. Not For Use In Diagnostic Procedures.
Provided below are standard protocols that you may find useful for product applications.
BACKGROUND
Poly-ADP-ribosyltransferase that mediates poly-ADP- ribosylation of proteins and plays a key role in DNA repair (PubMed:17177976, PubMed:18172500, PubMed:19344625, PubMed:19661379, PubMed:23230272, PubMed:25043379, PubMed:26344098). Mainly mediates glutamate and aspartate ADP- ribosylation of target proteins: the ADP-D-ribosyl group of NAD(+) is transferred to the acceptor carboxyl group of glutamate and aspartate residues and further ADP-ribosyl groups are transferred to the 2'-position of the terminal adenosine moiety, building up a polymer with an average chain length of 20-30 units (PubMed:7852410, PubMed:9315851, PubMed:19764761, PubMed:25043379). Mediates the poly(ADP-ribosyl)ation of a number of proteins, including itself, APLF and CHFR (PubMed:17396150, PubMed:19764761). Also mediates serine ADP-ribosylation of target proteins following interaction with HPF1; HPF1 conferring serine specificity (PubMed:28190768). Probably also catalyzes tyrosine ADP-ribosylation of target proteins following interaction with HPF1 (PubMed:30257210). Catalyzes the poly-ADP-ribosylation of histones in a HPF1-dependent manner (PubMed:27067600). Involved in the base excision repair (BER) pathway by catalyzing the poly-ADP- ribosylation of a limited number of acceptor proteins involved in chromatin architecture and in DNA metabolism (PubMed:17177976, PubMed:18172500, PubMed:19344625, PubMed:19661379, PubMed:23230272). ADP-ribosylation follows DNA damage and appears as an obligatory step in a detection/signaling pathway leading to the reparation of DNA strand breaks (PubMed:17177976, PubMed:18172500, PubMed:19344625, PubMed:19661379, PubMed:23230272). In addition to base excision repair (BER) pathway, also involved in double-strand breaks (DSBs) repair: together with TIMELESS, accumulates at DNA damage sites and promotes homologous recombination repair by mediating poly-ADP- ribosylation (PubMed:26344098, PubMed:30356214). In addition to proteins, also able to ADP-ribosylate DNA: catalyzes ADP- ribosylation of DNA strand break termini containing terminal phosphates and a 2'-OH group in single- and double-stranded DNA, respectively (PubMed:27471034). Required for PARP9 and DTX3L recruitment to DNA damage sites (PubMed:23230272). PARP1-dependent PARP9-DTX3L-mediated ubiquitination promotes the rapid and specific recruitment of 53BP1/TP53BP1, UIMC1/RAP80, and BRCA1 to DNA damage sites (PubMed:23230272). Acts as a regulator of transcription: positively regulates the transcription of MTUS1 and negatively regulates the transcription of MTUS2/TIP150 (PubMed:19344625). With EEF1A1 and TXK, forms a complex that acts as a T-helper 1 (Th1) cell-specific transcription factor and binds the promoter of IFN-gamma to directly regulate its transcription, and is thus involved importantly in Th1 cytokine production (PubMed:17177976). Involved in the synthesis of ATP in the nucleus, together with NMNAT1, PARG and NUDT5 (PubMed:27257257). Nuclear ATP generation is required for extensive chromatin remodeling events that are energy-consuming (PubMed:27257257).
终于等到您。ABCEPTA(百远生物)抗体产品。
点击下方“我要评价 ”按钮提交您的反馈信息,您的反馈和评价是我们最宝贵的财富之一,
我们将在1-3个工作日内处理您的反馈信息。
如有疑问,联系:0512-88856768 tech-china@abcepta.com.
















癌症的基本特征包括细胞增殖、血管生成、迁移、凋亡逃避机制和细胞永生等。找到癌症发生过程中这些通路的关键标记物和对应的抗体用于检测至关重要。
为您推荐一个泛素化位点预测神器——泛素化分析工具,可以为您的蛋白的泛素化位点作出预测和评分。
细胞自噬受体图形绘图工具为你的蛋白的细胞受体结合位点作出预测和评分,识别结合到自噬通路中的蛋白是非常重要的,便于让我们理解自噬在正常生理、病理过程中的作用,如发育、细胞分化、神经退化性疾病、压力条件下、感染和癌症。