AER61 Rabbit pAb
AER61 Rabbit pAb
- 产品详情
- 实验流程
- 背景知识
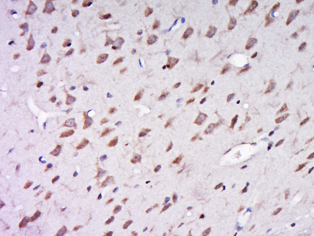
Application
| IHC-P, IHC-F, IF |
|---|---|
| Primary Accession | Q5NDL2 |
| Reactivity | Rat |
| Predicted | Human, Mouse, Dog, Pig, Rabbit, Sheep |
| Host | Rabbit |
| Clonality | Polyclonal |
| Calculated MW | 62011 Da |
| Physical State | Liquid |
| Immunogen | KLH conjugated synthetic peptide derived from human AER61 |
| Epitope Specificity | 151-250/527 |
| Isotype | IgG |
| Purity | affinity purified by Protein A |
| Buffer | 0.01M TBS (pH7.4) with 1% BSA, 0.02% Proclin300 and 50% Glycerol. |
| SUBCELLULAR LOCATION | Endoplasmic reticulum lumen |
| SIMILARITY | Belongs to the glycosyltransferase 61 family. |
| Important Note | This product as supplied is intended for research use only, not for use in human, therapeutic or diagnostic applications. |
| Background Descriptions | AER61 is a 527 amino acid secreted protein that belongs to the glycosyltransferase 61 family and exists as three alternatively spliced isoforms. C3orf64 is encoded by a gene mapping to human chromosome 3p14.1. Chromosome 3 is made up of approximately 214 million bases encoding over 1,100 genes. Notably, there is a chemokine receptor gene cluster and a variety of human cancer related loci on chromosome 3. Particular regions of the chromosome 3 short arm are deleted in many types of cancer cells. Key tumor suppressing genes on chromosome 3 encode apoptosis mediator RASSF1, cell migration regulator HYAL1 and angiogenesis suppressor SEMA3B. Marfan Syndrome, porphyria, von Hippel-Lindau syndrome, osteogenesis imperfecta and Charcot-Marie-Tooth disease are a few of the numerous genetic diseases associated with chromosome 3. |
| Gene ID | 285203 |
|---|---|
| Other Names | EGF domain-specific O-linked N-acetylglucosamine transferase, 2.4.1.255, Extracellular O-linked N-acetylglucosamine transferase, EOGT, AER61, C3orf64, EOGT1 |
| Dilution | IHC-P=1:100-500,IHC-F=1:100-500,IF=1:50-200 |
| Storage | Store at -20 °C for one year. Avoid repeated freeze/thaw cycles. When reconstituted in sterile pH 7.4 0.01M PBS or diluent of antibody the antibody is stable for at least two weeks at 2-4 °C. |
| Name | EOGT |
|---|---|
| Synonyms | AER61, C3orf64, EOGT1 |
| Function | Catalyzes the transfer of a single N-acetylglucosamine from UDP-GlcNAc to a serine or threonine residue in extracellular proteins resulting in their modification with a beta-linked N-acetylglucosamine (O-GlcNAc). Specifically glycosylates the Thr residue located between the fifth and sixth conserved cysteines of folded EGF-like domains. |
| Cellular Location | Endoplasmic reticulum lumen {ECO:0000255|PROSITE- ProRule:PRU10138} |
For Research Use Only. Not For Use In Diagnostic Procedures.
Provided below are standard protocols that you may find useful for product applications.
BACKGROUND
AER61 is a 527 amino acid secreted protein that belongs to the glycosyltransferase 61 family and exists as three alternatively spliced isoforms. C3orf64 is encoded by a gene mapping to human chromosome 3p14.1. Chromosome 3 is made up of approximately 214 million bases encoding over 1,100 genes. Notably, there is a chemokine receptor gene cluster and a variety of human cancer related loci on chromosome 3. Particular regions of the chromosome 3 short arm are deleted in many types of cancer cells. Key tumor suppressing genes on chromosome 3 encode apoptosis mediator RASSF1, cell migration regulator HYAL1 and angiogenesis suppressor SEMA3B. Marfan Syndrome, porphyria, von Hippel-Lindau syndrome, osteogenesis imperfecta and Charcot-Marie-Tooth disease are a few of the numerous genetic diseases associated with chromosome 3.
终于等到您。ABCEPTA(百远生物)抗体产品。
点击下方“我要评价 ”按钮提交您的反馈信息,您的反馈和评价是我们最宝贵的财富之一,
我们将在1-3个工作日内处理您的反馈信息。
如有疑问,联系:0512-88856768 tech-china@abcepta.com.
















癌症的基本特征包括细胞增殖、血管生成、迁移、凋亡逃避机制和细胞永生等。找到癌症发生过程中这些通路的关键标记物和对应的抗体用于检测至关重要。
为您推荐一个泛素化位点预测神器——泛素化分析工具,可以为您的蛋白的泛素化位点作出预测和评分。
细胞自噬受体图形绘图工具为你的蛋白的细胞受体结合位点作出预测和评分,识别结合到自噬通路中的蛋白是非常重要的,便于让我们理解自噬在正常生理、病理过程中的作用,如发育、细胞分化、神经退化性疾病、压力条件下、感染和癌症。