IL-3 Rabbit pAb
IL-3 Rabbit pAb
- 产品详情
- 实验流程
- 背景知识
Application
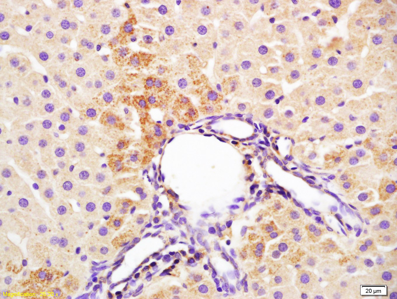
| WB, IHC-P, IHC-F, IF |
|---|---|
| Primary Accession | P01586 |
| Reactivity | Mouse, Rat |
| Host | Rabbit |
| Clonality | Polyclonal |
| Calculated MW | 18540 Da |
| Physical State | Liquid |
| Immunogen | KLH conjugated synthetic peptide derived from mouse IL-3 |
| Epitope Specificity | 101-166/166 |
| Isotype | IgG |
| Purity | affinity purified by Protein A |
| Buffer | 0.01M TBS (pH7.4) with 1% BSA, 0.02% Proclin300 and 50% Glycerol. |
| SUBCELLULAR LOCATION | Secreted. |
| SIMILARITY | Belongs to the IL-3 family. |
| SUBUNIT | Monomer. |
| Important Note | This product as supplied is intended for research use only, not for use in human, therapeutic or diagnostic applications. |
| Background Descriptions | The pleiotropic IL3 (Interleukin 3) is a 15kDa cytokine that is primarily secreted by activated T lymphocytes and stimulates the proliferation and differentiation of hematopoietic cells. IL3 acts in hematopoiesis by controlling the production, differentiation, and function of two related white cell populations of the blood, the granulocytes and the monocytes/macrophages. It induces granulocytes, macrophages, mast cells, stem cells, erythroid cells, eosinophils and megakaryocytes and is expressed by activated T cells, mast cells, and natural killer cells. IL3 not only supports growth of both pluripotent stem cells and the more differentiated committed progenitors, but it also stimulates the functional activity of some fully differentiated cells. IL3 has also been shown to protect mast cells from undergoing apoptosis. |
| Gene ID | 16187 |
|---|---|
| Other Names | Interleukin-3, IL-3, Hematopoietic growth factor, Mast cell growth factor, MCGF, Multipotential colony-stimulating factor, P-cell-stimulating factor, Il3, Csfmu, Il-3 |
| Target/Specificity | Activated T-cells, mast cells, natural killer cells. |
| Dilution | WB=1:500-2000,IHC-P=1:100-500,IHC-F=1:100-500,IF=1:100-500 |
| Storage | Store at -20 °C for one year. Avoid repeated freeze/thaw cycles. When reconstituted in sterile pH 7.4 0.01M PBS or diluent of antibody the antibody is stable for at least two weeks at 2-4 °C. |
| Name | Il3 |
|---|---|
| Synonyms | Csfmu, Il-3 |
| Function | Cytokine secreted predominantly by activated T-lymphocytes as well as mast cells and osteoblastic cells that controls the production and differentiation of hematopoietic progenitor cells into lineage- restricted cells. Also stimulates mature basophils, eosinophils, and monocytes to become functionally activated. In addition, plays an important role in neural cell proliferation and survival. Participates as well in bone homeostasis and inhibits osteoclast differentiation by preventing NF-kappa-B nuclear translocation and activation. Mechanistically, exerts its biological effects through a receptor composed of IL3RA subunit and a signal transducing subunit IL3RB (By similarity). Receptor stimulation results in the rapid activation of JAK2 kinase activity leading to STAT5-mediated transcriptional program (PubMed:10376805, PubMed:31990690, PubMed:8378315). Alternatively, contributes to cell survival under oxidative stress in non- hematopoietic systems by activating pathways mediated by PI3K/AKT and ERK (By similarity). |
| Cellular Location | Secreted. |
| Tissue Location | Activated T-cells, mast cells, natural killer cells |
For Research Use Only. Not For Use In Diagnostic Procedures.
Provided below are standard protocols that you may find useful for product applications.
BACKGROUND
The pleiotropic IL3 (Interleukin 3) is a 15kDa cytokine that is primarily secreted by activated T lymphocytes and stimulates the proliferation and differentiation of hematopoietic cells. IL3 acts in hematopoiesis by controlling the production, differentiation, and function of two related white cell populations of the blood, the granulocytes and the monocytes/macrophages. It induces granulocytes, macrophages, mast cells, stem cells, erythroid cells, eosinophils and megakaryocytes and is expressed by activated T cells, mast cells, and natural killer cells. IL3 not only supports growth of both pluripotent stem cells and the more differentiated committed progenitors, but it also stimulates the functional activity of some fully differentiated cells. IL3 has also been shown to protect mast cells from undergoing apoptosis.
终于等到您。ABCEPTA(百远生物)抗体产品。
点击下方“我要评价 ”按钮提交您的反馈信息,您的反馈和评价是我们最宝贵的财富之一,
我们将在1-3个工作日内处理您的反馈信息。
如有疑问,联系:0512-88856768 tech-china@abcepta.com.
















癌症的基本特征包括细胞增殖、血管生成、迁移、凋亡逃避机制和细胞永生等。找到癌症发生过程中这些通路的关键标记物和对应的抗体用于检测至关重要。
为您推荐一个泛素化位点预测神器——泛素化分析工具,可以为您的蛋白的泛素化位点作出预测和评分。
细胞自噬受体图形绘图工具为你的蛋白的细胞受体结合位点作出预测和评分,识别结合到自噬通路中的蛋白是非常重要的,便于让我们理解自噬在正常生理、病理过程中的作用,如发育、细胞分化、神经退化性疾病、压力条件下、感染和癌症。