POU2F3 Rabbit pAb
POU2F3 Rabbit pAb
- 产品详情
- 实验流程
- 背景知识
Application
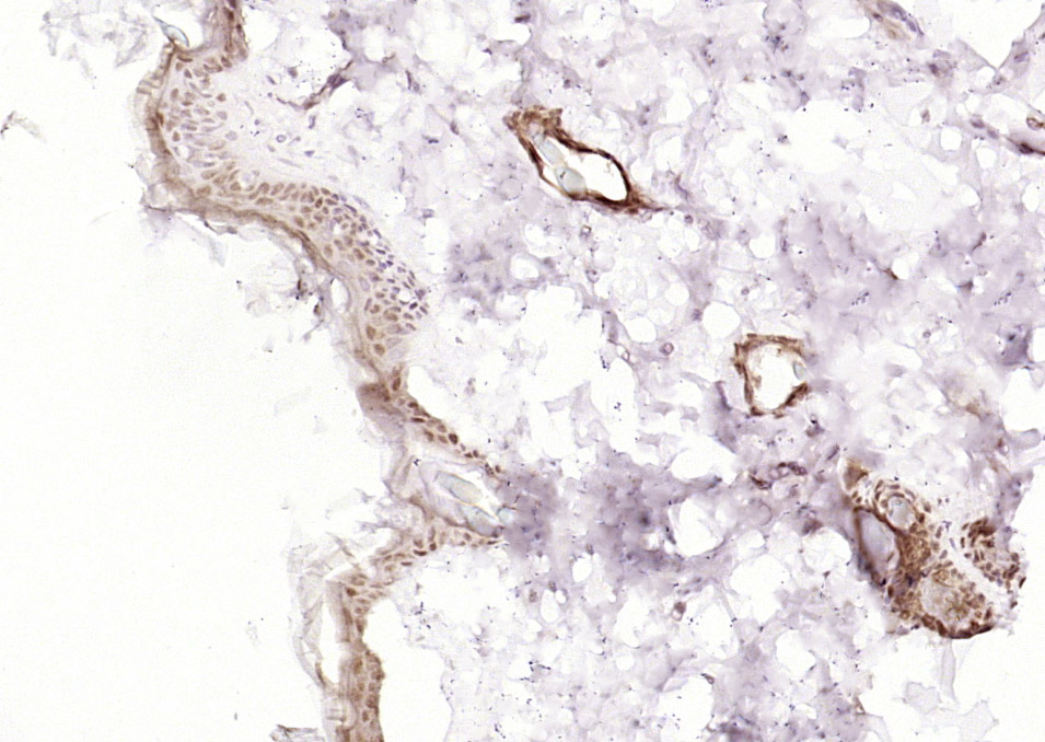
| WB, IHC-P, IHC-F, IF |
|---|---|
| Primary Accession | Q9UKI9 |
| Reactivity | Mouse, Rat |
| Predicted | Human, Dog, Rabbit, Sheep |
| Host | Rabbit |
| Clonality | Polyclonal |
| Calculated MW | 47432 Da |
| Physical State | Liquid |
| Immunogen | KLH conjugated synthetic peptide derived from human POU2F3 |
| Epitope Specificity | 1-100/436 |
| Isotype | IgG |
| Purity | affinity purified by Protein A |
| Buffer | 0.01M TBS (pH7.4) with 1% BSA, 0.02% Proclin300 and 50% Glycerol. |
| SUBCELLULAR LOCATION | Nucleus. |
| SIMILARITY | Belongs to the POU transcription factor family. Class-2 subfamily. Contains 1 homeobox DNA-binding domain. Contains 1 POU-specific domain. |
| Important Note | This product as supplied is intended for research use only, not for use in human, therapeutic or diagnostic applications. |
| Background Descriptions | This gene encodes a member of the POU domain family of transcription factors. POU domain transcription factors bind to a specific octamer DNA motif and regulate cell type-specific differentiation pathways. The encoded protein is primarily expressed in the epidermis, and plays a critical role in keratinocyte proliferation and differentiation. The encoded protein is also a candidate tumor suppressor protein, and aberrant promoter methylation of this gene may play a role in cervical cancer. Alternatively spliced transcript variants encoding multiple isoforms have been observed for this gene. [provided by RefSeq, Sep 2011] |
| Gene ID | 25833 |
|---|---|
| Other Names | POU domain, class 2, transcription factor 3, Octamer-binding protein 11 {ECO:0000303|Ref.2}, Oct-11 {ECO:0000303|Ref.2}, Octamer-binding transcription factor 11, OTF-11, Transcription factor PLA-1 {ECO:0000303|Ref.3}, Transcription factor Skn-1, POU2F3 (HGNC:19864), OTF11, PLA1 |
| Target/Specificity | Specifically expressed in epidermis and cultured keratinocytes. |
| Dilution | WB=1:500-2000,IHC-P=1:100-500,IHC-F=1:100-500,IF=1:100-500 |
| Storage | Store at -20 °C for one year. Avoid repeated freeze/thaw cycles. When reconstituted in sterile pH 7.4 0.01M PBS or diluent of antibody the antibody is stable for at least two weeks at 2-4 °C. |
| Name | POU2F3 (HGNC:19864) |
|---|---|
| Synonyms | OTF11, PLA1 |
| Function | Transcription factor that binds to the octamer motif (5'- ATTTGCAT-3') and regulates cell type-specific differentiation pathways. Involved in the regulation of keratinocytes differentiation (PubMed:11329378). The POU2F3-POU2AF2/POU2AF3 complex drives the expression of tuft-cell-specific genes, a rare chemosensory cells that coordinate immune and neural functions within mucosal epithelial tissues (PubMed:35576971). |
| Cellular Location | Nucleus {ECO:0000250|UniProtKB:P31362}. |
| Tissue Location | Specifically expressed in epidermis and cultured keratinocytes. |
For Research Use Only. Not For Use In Diagnostic Procedures.
Provided below are standard protocols that you may find useful for product applications.
BACKGROUND
This gene encodes a member of the POU domain family of transcription factors. POU domain transcription factors bind to a specific octamer DNA motif and regulate cell type-specific differentiation pathways. The encoded protein is primarily expressed in the epidermis, and plays a critical role in keratinocyte proliferation and differentiation. The encoded protein is also a candidate tumor suppressor protein, and aberrant promoter methylation of this gene may play a role in cervical cancer. Alternatively spliced transcript variants encoding multiple isoforms have been observed for this gene. [provided by RefSeq, Sep 2011]
终于等到您。ABCEPTA(百远生物)抗体产品。
点击下方“我要评价 ”按钮提交您的反馈信息,您的反馈和评价是我们最宝贵的财富之一,
我们将在1-3个工作日内处理您的反馈信息。
如有疑问,联系:0512-88856768 tech-china@abcepta.com.
















癌症的基本特征包括细胞增殖、血管生成、迁移、凋亡逃避机制和细胞永生等。找到癌症发生过程中这些通路的关键标记物和对应的抗体用于检测至关重要。
为您推荐一个泛素化位点预测神器——泛素化分析工具,可以为您的蛋白的泛素化位点作出预测和评分。
细胞自噬受体图形绘图工具为你的蛋白的细胞受体结合位点作出预测和评分,识别结合到自噬通路中的蛋白是非常重要的,便于让我们理解自噬在正常生理、病理过程中的作用,如发育、细胞分化、神经退化性疾病、压力条件下、感染和癌症。