Trehalase Rabbit pAb
Trehalase Rabbit pAb
- 产品详情
- 实验流程
- 背景知识
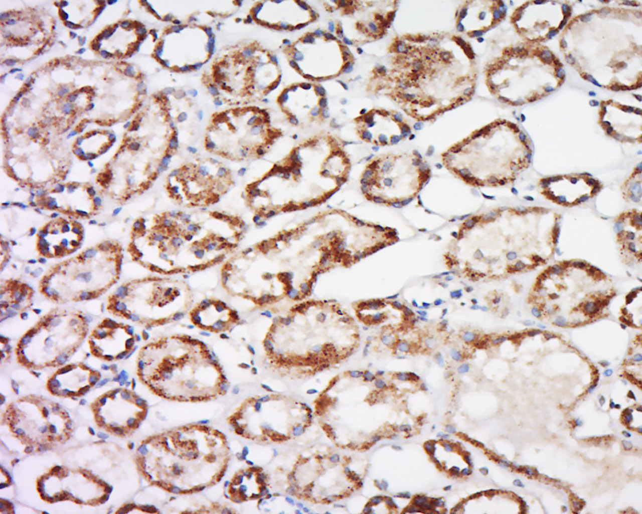
Application
| IHC-P, IHC-F, IF |
|---|---|
| Primary Accession | O43280 |
| Reactivity | Human |
| Predicted | Mouse, Rat |
| Host | Rabbit |
| Clonality | Polyclonal |
| Calculated MW | 66568 Da |
| Physical State | Liquid |
| Immunogen | KLH conjugated synthetic peptide derived from human Trehalase |
| Epitope Specificity | 81-180/583 |
| Isotype | IgG |
| Purity | affinity purified by Protein A |
| Buffer | 0.01M TBS (pH7.4) with 1% BSA, 0.02% Proclin300 and 50% Glycerol. |
| SUBCELLULAR LOCATION | Cell membrane. |
| SIMILARITY | Sequence similaritiesBelongs to the glycosyl hydrolase 37 family. |
| DISEASE | Note=Deficiency of TREH results in isolated trehalose intolerance that causes gastrointestinal symptoms after ingestion of edible mushrooms. |
| Important Note | This product as supplied is intended for research use only, not for use in human, therapeutic or diagnostic applications. |
| Background Descriptions | Trehalase, also known as TREH, TREA or α,α-trehalose glucohydrolase, is a 583 amino acid protein belonging to the glycosyl hydrolase 37 family. Localizing to cell membrane and lipid-anchor, Trehalase is expressed in kidney, liver, and small intestine. Trehalase hydrolyses ingested trehalose, a disaccharide formed by two glucose molecules found mainly in insects, fungi, and plants, into cellular substrate glucose. Isolated trehalose intolerance due to deficiencies of Trehalase can result in gastrointestinal symptoms. Trehalase may also be a marker for renal tubular damage, and may contain an N-terminal signal peptide, five potential N-glycosylation sites, and a C-terminal hydrophobic region for glycosylphosphatidylinositol (GPI) attachment. Existing as two alternatively spliced isoforms, the gene encoding Trehalase maps to human chromosome 11q23.3. |
| Gene ID | 11181 |
|---|---|
| Other Names | Trehalase, 3.2.1.28, Alpha, alpha-trehalase, Alpha, alpha-trehalose glucohydrolase, TREH (HGNC:12266), TREA |
| Dilution | IHC-P=1:100-500,IHC-F=1:100-500,IF=1:100-500 |
| Storage | Store at -20 °C for one year. Avoid repeated freeze/thaw cycles. When reconstituted in sterile pH 7.4 0.01M PBS or diluent of antibody the antibody is stable for at least two weeks at 2-4 °C. |
| Name | TREH (HGNC:12266) |
|---|---|
| Synonyms | TREA |
| Function | Intestinal trehalase is probably involved in the hydrolysis of ingested trehalose. |
| Cellular Location | Cell membrane {ECO:0000250|UniProtKB:P19813}; Lipid-anchor, GPI-anchor {ECO:0000250|UniProtKB:P19813} |
| Tissue Location | Expressed in kidney, liver and small intestine. Also more weakly expressed in pancreas. |
For Research Use Only. Not For Use In Diagnostic Procedures.
Provided below are standard protocols that you may find useful for product applications.
BACKGROUND
Trehalase, also known as TREH, TREA or α,α-trehalose glucohydrolase, is a 583 amino acid protein belonging to the glycosyl hydrolase 37 family. Localizing to cell membrane and lipid-anchor, Trehalase is expressed in kidney, liver, and small intestine. Trehalase hydrolyses ingested trehalose, a disaccharide formed by two glucose molecules found mainly in insects, fungi, and plants, into cellular substrate glucose. Isolated trehalose intolerance due to deficiencies of Trehalase can result in gastrointestinal symptoms. Trehalase may also be a marker for renal tubular damage, and may contain an N-terminal signal peptide, five potential N-glycosylation sites, and a C-terminal hydrophobic region for glycosylphosphatidylinositol (GPI) attachment. Existing as two alternatively spliced isoforms, the gene encoding Trehalase maps to human chromosome 11q23.3.
终于等到您。ABCEPTA(百远生物)抗体产品。
点击下方“我要评价 ”按钮提交您的反馈信息,您的反馈和评价是我们最宝贵的财富之一,
我们将在1-3个工作日内处理您的反馈信息。
如有疑问,联系:0512-88856768 tech-china@abcepta.com.
















癌症的基本特征包括细胞增殖、血管生成、迁移、凋亡逃避机制和细胞永生等。找到癌症发生过程中这些通路的关键标记物和对应的抗体用于检测至关重要。
为您推荐一个泛素化位点预测神器——泛素化分析工具,可以为您的蛋白的泛素化位点作出预测和评分。
细胞自噬受体图形绘图工具为你的蛋白的细胞受体结合位点作出预测和评分,识别结合到自噬通路中的蛋白是非常重要的,便于让我们理解自噬在正常生理、病理过程中的作用,如发育、细胞分化、神经退化性疾病、压力条件下、感染和癌症。