GFPT1 Rabbit pAb
GFPT1 Rabbit pAb
- 产品详情
- 实验流程
- 背景知识
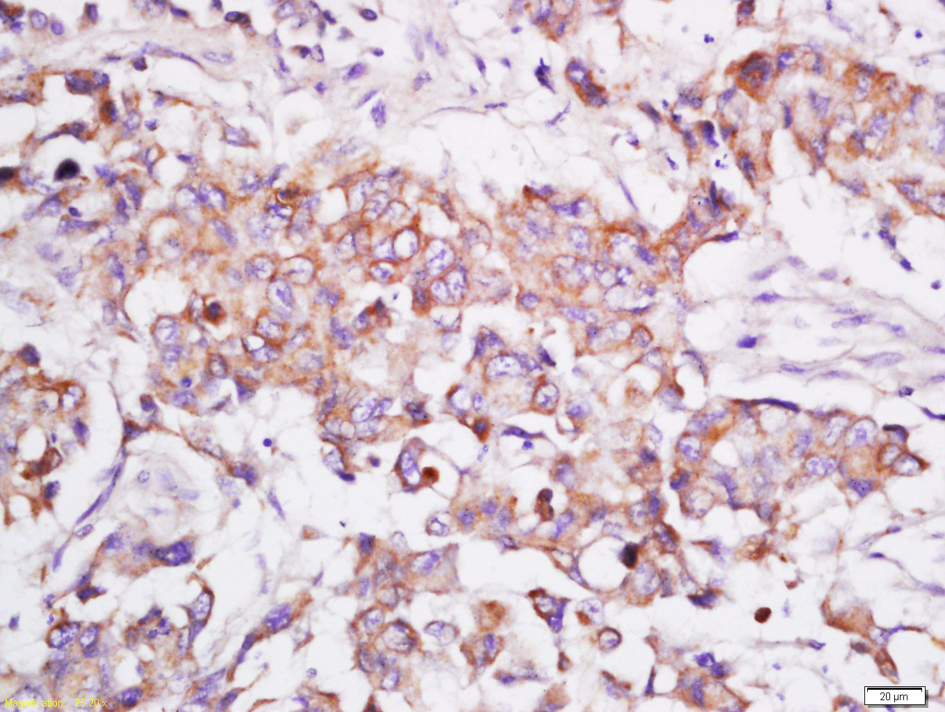
Application
| IHC-P, IHC-F, IF |
|---|---|
| Primary Accession | Q06210 |
| Reactivity | Human |
| Predicted | Mouse, Rat, Chicken, Dog, Pig, Horse, Rabbit, Sheep |
| Host | Rabbit |
| Clonality | Polyclonal |
| Calculated MW | 78806 Da |
| Physical State | Liquid |
| Immunogen | KLH conjugated synthetic peptide derived from human GFPT1 |
| Epitope Specificity | 601-699/699 |
| Isotype | IgG |
| Purity | affinity purified by Protein A |
| Buffer | 0.01M TBS (pH7.4) with 1% BSA, 0.02% Proclin300 and 50% Glycerol. |
| SIMILARITY | Contains 1 glutamine amidotransferase type-2 domain. Contains 2 SIS domains. |
| SUBUNIT | Homotetramer |
| DISEASE | Defects in GFPT1 are the cause of limb-girdle myasthenia with tubular aggregates (LGMTA) [MIM:610542]. A congenital myasthenic syndrome characterized by onset of proximal muscle weakness in the first decade. Individuals with this condition have a recognizable pattern of weakness of shoulder and pelvic girdle muscles, and sparing of ocular or facial muscles. EMG classically shows a decremental response to repeated nerve stimulation, a sign of neuromuscular junction dysfunction. Affected individuals show a favorable response to acetylcholinesterase (AChE) inhibitors. |
| Important Note | This product as supplied is intended for research use only, not for use in human, therapeutic or diagnostic applications. |
| Background Descriptions | Glutamine:fructose-6-phosphate amidotransferase (GFAT1) is the first and rate-limiting enzyme for the entry of glucose into the hexosamine biosynthesis pathway (HBP) in mammals. GFAT1, a member of the N-terminal nucleophile class of amidotransferases, converts fructose-6-phosphate into N-acetylglucosamine-6-phosphate. Hyperglycemia-induced insulin resistance, a condition in which exposure to high concentrations of glucose and insulin results in insulin resistance, may result from increased glucose metabolism through the HBP. Hypergylcemia-induced insulin resistance is a characteristic feature of type 2 diabetes. Consequently, GFAT1 is a potential therapeutic target in the treatment of type 2 diabetes. |
| Gene ID | 2673 |
|---|---|
| Other Names | Glutamine--fructose-6-phosphate aminotransferase [isomerizing] 1, 2.6.1.16, D-fructose-6-phosphate amidotransferase 1, Glutamine:fructose-6-phosphate amidotransferase 1, GFAT 1, GFAT1, Hexosephosphate aminotransferase 1, GFPT1, GFAT, GFPT |
| Target/Specificity | Isoform 1 is predominantly expressed in skeletal muscle. Not expressed in brain. Seems to be selectively expressed in striated muscle. |
| Dilution | IHC-P=1:100-500,IHC-F=1:100-500,IF=1:100-500 |
| Storage | Store at -20 °C for one year. Avoid repeated freeze/thaw cycles. When reconstituted in sterile pH 7.4 0.01M PBS or diluent of antibody the antibody is stable for at least two weeks at 2-4 °C. |
| Name | GFPT1 (HGNC:4241) |
|---|---|
| Synonyms | GFAT, GFPT |
| Function | Rate-limiting enzyme of the hexosamine biosynthetic pathway (HBP) that catalyzes the formation of glucosamine-6-phosphate from fructose-6-phosphate and glutamine, thereby controlling the flux of glucose into this pathway (PubMed:32019926, PubMed:35229715). Inhibited by UDP-N-acetylglucosamine (UDP-GlcNAc) through a feedback loop (PubMed:32019926, PubMed:35229715). Fine-tunes the metabolic fluctuations of UDP-GlcNAc and its impacts on hyaluronan synthesis during tissue remodeling (PubMed:26887390). Via control of the HPB, regulates the availability of precursors for N- and O-linked protein glycosylation and modulates peripheral clock oscillation (By similarity). |
| Tissue Location | [Isoform 1]: Predominantly expressed in skeletal muscle. Not expressed in brain. Seems to be selectively expressed in striated muscle. |
For Research Use Only. Not For Use In Diagnostic Procedures.
Provided below are standard protocols that you may find useful for product applications.
BACKGROUND
Glutamine:fructose-6-phosphate amidotransferase (GFAT1) is the first and rate-limiting enzyme for the entry of glucose into the hexosamine biosynthesis pathway (HBP) in mammals. GFAT1, a member of the N-terminal nucleophile class of amidotransferases, converts fructose-6-phosphate into N-acetylglucosamine-6-phosphate. Hyperglycemia-induced insulin resistance, a condition in which exposure to high concentrations of glucose and insulin results in insulin resistance, may result from increased glucose metabolism through the HBP. Hypergylcemia-induced insulin resistance is a characteristic feature of type 2 diabetes. Consequently, GFAT1 is a potential therapeutic target in the treatment of type 2 diabetes.
终于等到您。ABCEPTA(百远生物)抗体产品。
点击下方“我要评价 ”按钮提交您的反馈信息,您的反馈和评价是我们最宝贵的财富之一,
我们将在1-3个工作日内处理您的反馈信息。
如有疑问,联系:0512-88856768 tech-china@abcepta.com.
















癌症的基本特征包括细胞增殖、血管生成、迁移、凋亡逃避机制和细胞永生等。找到癌症发生过程中这些通路的关键标记物和对应的抗体用于检测至关重要。
为您推荐一个泛素化位点预测神器——泛素化分析工具,可以为您的蛋白的泛素化位点作出预测和评分。
细胞自噬受体图形绘图工具为你的蛋白的细胞受体结合位点作出预测和评分,识别结合到自噬通路中的蛋白是非常重要的,便于让我们理解自噬在正常生理、病理过程中的作用,如发育、细胞分化、神经退化性疾病、压力条件下、感染和癌症。