CX3CL1 Rabbit pAb
CX3CL1 Rabbit pAb
- 产品详情
- 实验流程
- 背景知识
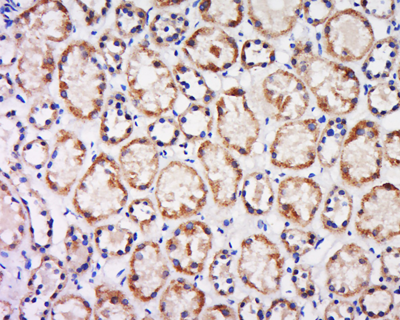
Application
| IHC-P, IHC-F, IF |
|---|---|
| Primary Accession | P78423 |
| Reactivity | Human |
| Predicted | Mouse, Rat |
| Host | Rabbit |
| Clonality | Polyclonal |
| Calculated MW | 42203 Da |
| Physical State | Liquid |
| Immunogen | KLH conjugated synthetic peptide derived from human CX3CL1 |
| Epitope Specificity | 301-397/397 |
| Isotype | IgG |
| Purity | affinity purified by Protein A |
| Buffer | 0.01M TBS (pH7.4) with 1% BSA, 0.02% Proclin300 and 50% Glycerol. |
| SUBCELLULAR LOCATION | Cell membrane; Single-pass type I membrane protein. Processed fractalkine: Secreted. |
| SIMILARITY | Belongs to the intercrine delta family. |
| SUBUNIT | Monomer. |
| Post-translational modifications | A soluble short 95 kDa form may be released by proteolytic cleavage from the long membrane-anchored form. O-glycosylated with core 1 or possibly core 8 glycans. |
| Important Note | This product as supplied is intended for research use only, not for use in human, therapeutic or diagnostic applications. |
| Background Descriptions | CX3CL1 is a member of the delta chemokine subfamily that contains a unique CX3C cysteine motif near the N-terminal. Unlike other known chemokines, it is a type 1 membrane protein containing a chemokine domain tethered on a long mucin-like stalk. CX3CL1, a leukocyte chemoattractant, is expressed in various tissues including the brain, heart, lung, kidney, skeletal muscle, and testis. The expression is reported to be up-regulated in endothelial cells and microglia by inflammatory signals. CX3CR1, a specific receptor for fractalkine, mediates both leukocyte migration and adhesion. |
| Gene ID | 6376 |
|---|---|
| Other Names | Fractalkine, C-X3-C motif chemokine 1, CX3C membrane-anchored chemokine, Neurotactin, Small-inducible cytokine D1, Processed fractalkine, CX3CL1 {ECO:0000303|PubMed:9024663} |
| Target/Specificity | Small intestine, colon, testis, prostate, heart, brain, lung, skeletal muscle, kidney and pancreas. |
| Dilution | IHC-P=1:100-500,IHC-F=1:100-500,IF=1:100-500 |
| Storage | Store at -20 °C for one year. Avoid repeated freeze/thaw cycles. When reconstituted in sterile pH 7.4 0.01M PBS or diluent of antibody the antibody is stable for at least two weeks at 2-4 °C. |
| Name | CX3CL1 {ECO:0000303|PubMed:9024663} |
|---|---|
| Function | Chemokine that acts as a ligand for both CX3CR1 and integrins ITGAV:ITGB3 and ITGA4:ITGB1 (PubMed:12055230, PubMed:21829356, PubMed:23125415, PubMed:9782118, PubMed:9931005). The CX3CR1-CX3CL1 signaling exerts distinct functions in different tissue compartments, such as immune response, inflammation, cell adhesion and chemotaxis (PubMed:12055230, PubMed:9024663, PubMed:9177350, PubMed:9782118). Regulates leukocyte adhesion and migration processes at the endothelium (PubMed:9024663, PubMed:9177350). Can activate integrins in both a CX3CR1-dependent and CX3CR1-independent manner (PubMed:23125415, PubMed:24789099). In the presence of CX3CR1, activates integrins by binding to the classical ligand-binding site (site 1) in integrins (PubMed:23125415, PubMed:24789099). In the absence of CX3CR1, binds to a second site (site 2) in integrins which is distinct from site 1 and enhances the binding of other integrin ligands to site 1 (PubMed:23125415, PubMed:24789099). |
| Cellular Location | Cell membrane; Single-pass type I membrane protein |
| Tissue Location | Expressed in the seminal plasma, endometrial fluid and follicular fluid (at protein level). Small intestine, colon, testis, prostate, heart, brain, lung, skeletal muscle, kidney and pancreas. Most abundant in the brain and heart |
For Research Use Only. Not For Use In Diagnostic Procedures.
Provided below are standard protocols that you may find useful for product applications.
BACKGROUND
CX3CL1 is a member of the delta chemokine subfamily that contains a unique CX3C cysteine motif near the N-terminal. Unlike other known chemokines, it is a type 1 membrane protein containing a chemokine domain tethered on a long mucin-like stalk. CX3CL1, a leukocyte chemoattractant, is expressed in various tissues including the brain, heart, lung, kidney, skeletal muscle, and testis. The expression is reported to be up-regulated in endothelial cells and microglia by inflammatory signals. CX3CR1, a specific receptor for fractalkine, mediates both leukocyte migration and adhesion.
REFERENCES
Bazan J.F.,et al.Nature 385:640-644(1997).
Loftus B.J.,et al.Genomics 60:295-308(1999).
Nilsson J.,et al.Nat. Methods 6:809-811(2009).
Halim A.,et al.Mol. Cell. Proteomics 0:0-0(2011).
Mizoue L.S.,et al.Biochemistry 38:1402-1414(1999).
终于等到您。ABCEPTA(百远生物)抗体产品。
点击下方“我要评价 ”按钮提交您的反馈信息,您的反馈和评价是我们最宝贵的财富之一,
我们将在1-3个工作日内处理您的反馈信息。
如有疑问,联系:0512-88856768 tech-china@abcepta.com.
















癌症的基本特征包括细胞增殖、血管生成、迁移、凋亡逃避机制和细胞永生等。找到癌症发生过程中这些通路的关键标记物和对应的抗体用于检测至关重要。
为您推荐一个泛素化位点预测神器——泛素化分析工具,可以为您的蛋白的泛素化位点作出预测和评分。
细胞自噬受体图形绘图工具为你的蛋白的细胞受体结合位点作出预测和评分,识别结合到自噬通路中的蛋白是非常重要的,便于让我们理解自噬在正常生理、病理过程中的作用,如发育、细胞分化、神经退化性疾病、压力条件下、感染和癌症。