AXL Rabbit pAb
AXL Rabbit pAb
- 产品详情
- 实验流程
- 背景知识
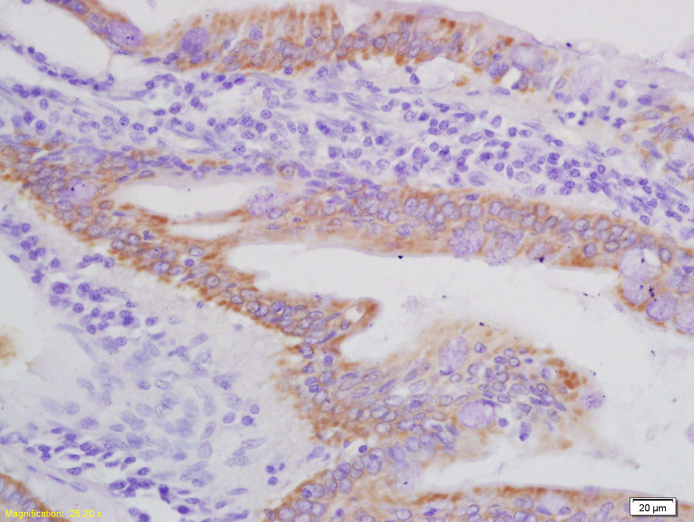
Application
| WB, IHC-P, IHC-F, IF |
|---|---|
| Primary Accession | P30530 |
| Reactivity | Human, Mouse |
| Predicted | Rat, Dog, Horse, Rabbit |
| Host | Rabbit |
| Clonality | Polyclonal |
| Calculated MW | 98337 Da |
| Physical State | Liquid |
| Immunogen | KLH conjugated synthetic peptide derived from human AXL |
| Epitope Specificity | 151-250/894 |
| Isotype | IgG |
| Purity | affinity purified by Protein A |
| Buffer | 0.01M TBS (pH7.4) with 1% BSA, 0.02% Proclin300 and 50% Glycerol. |
| SUBCELLULAR LOCATION | Cell membrane; Single-pass type I membrane protein. |
| SIMILARITY | Belongs to the protein kinase superfamily. Tyr protein kinase family. AXL/UFO subfamily. Contains 2 fibronectin type-III domains. Contains 2 Ig-like C2-type (immunoglobulin-like) domains. Contains 1 protein kinase domain |
| SUBUNIT | Heterodimer and heterotetramer with ligand GAS6. Interacts with CBL, GRB2, LCK, NCK2, PIK3R1, PIK3R2, PIK3R3, PLCG1, SOCS1 and TENC1. Part a complex including AXL, TNK2 and GRB2, in which GRB2 promotes AXL recruitment by TNK2. |
| Post-translational modifications | Phosphorylated at tyrosine residues by autocatalysis, which activates kinase activity. |
| DISEASE | Note=AXL and its ligand GAS6 are highly expressed in thyroid carcinoma tissues, and might thus be involved in thiroid tumorigenesis. Overexpression of AXL and its ligand was also detected in many other cancers such as myeloptoliferative disorders, prostatic carcinoma cells, or breast cancer. |
| Important Note | This product as supplied is intended for research use only, not for use in human, therapeutic or diagnostic applications. |
| Background Descriptions | The protein encoded by this gene is a member of the receptor tyrosine kinase subfamily. Although it is similar to other receptor tyrosine kinases, the Axl protein represents a unique structure of the extracellular region that juxtaposes IgL and FNIII repeats. It transduces signals from the extracellular matrix into the cytoplasm by binding growth factors such as vitamin K dependent protein growth arrest specific gene 6. It is involved in the stimulation of cell proliferation. This receptor can also mediate cell aggregation by homophilic binding. Axl is a chronic myelogenous leukemia associated oncogene and also associated with colon cancer and melanoma.The Axl gene is evolutionarily conserved between vertebrate species. This gene has two different alternatively spliced transcript variants (AXL1 and AXL2). |
| Gene ID | 558 |
|---|---|
| Other Names | Tyrosine-protein kinase receptor UFO, 2.7.10.1, AXL oncogene, AXL, UFO |
| Target/Specificity | Highly expressed in metastatic colon tumors. Expressed in primary colon tumors. Weakly expressed in normal colon tissue. |
| Dilution | WB=1:500-2000,IHC-P=1:100-500,IHC-F=1:100-500,IF=1:100-500 |
| Storage | Store at -20 °C for one year. Avoid repeated freeze/thaw cycles. When reconstituted in sterile pH 7.4 0.01M PBS or diluent of antibody the antibody is stable for at least two weeks at 2-4 °C. |
| Name | AXL |
|---|---|
| Synonyms | UFO |
| Function | Receptor tyrosine kinase that transduces signals from the extracellular matrix into the cytoplasm by binding growth factor GAS6 and which is thus regulating many physiological processes including cell survival, cell proliferation, migration and differentiation. Ligand binding at the cell surface induces dimerization and autophosphorylation of AXL. Following activation by ligand, AXL binds and induces tyrosine phosphorylation of PI3-kinase subunits PIK3R1, PIK3R2 and PIK3R3; but also GRB2, PLCG1, LCK and PTPN11. Other downstream substrate candidates for AXL are CBL, NCK2, SOCS1 and TNS2. Recruitment of GRB2 and phosphatidylinositol 3 kinase regulatory subunits by AXL leads to the downstream activation of the AKT kinase. GAS6/AXL signaling plays a role in various processes such as endothelial cell survival during acidification by preventing apoptosis, optimal cytokine signaling during human natural killer cell development, hepatic regeneration, gonadotropin-releasing hormone neuron survival and migration, platelet activation, or regulation of thrombotic responses. Also plays an important role in inhibition of Toll-like receptors (TLRs)-mediated innate immune response. |
| Cellular Location | Cell membrane; Single-pass type I membrane protein |
| Tissue Location | Highly expressed in metastatic colon tumors. Expressed in primary colon tumors. Weakly expressed in normal colon tissue. |
For Research Use Only. Not For Use In Diagnostic Procedures.
Provided below are standard protocols that you may find useful for product applications.
BACKGROUND
The protein encoded by this gene is a member of the receptor tyrosine kinase subfamily. Although it is similar to other receptor tyrosine kinases, the Axl protein represents a unique structure of the extracellular region that juxtaposes IgL and FNIII repeats. It transduces signals from the extracellular matrix into the cytoplasm by binding growth factors such as vitamin K dependent protein growth arrest specific gene 6. It is involved in the stimulation of cell proliferation. This receptor can also mediate cell aggregation by homophilic binding. Axl is a chronic myelogenous leukemia associated oncogene and also associated with colon cancer and melanoma.The Axl gene is evolutionarily conserved between vertebrate species. This gene has two different alternatively spliced transcript variants (AXL1 and AXL2).
REFERENCES
Partanen J.,et al.Proc. Natl. Acad. Sci. U.S.A. 87:8913-8917(1990).
O'Bryan J.P.,et al.Mol. Cell. Biol. 11:5016-5031(1991).
Janssen J.W.G.,et al.Oncogene 6:2113-2120(1991).
Grimwood J.,et al.Nature 428:529-535(2004).
Lee S.-T.,et al.Oncogene 8:3403-3410(1993).
终于等到您。ABCEPTA(百远生物)抗体产品。
点击下方“我要评价 ”按钮提交您的反馈信息,您的反馈和评价是我们最宝贵的财富之一,
我们将在1-3个工作日内处理您的反馈信息。
如有疑问,联系:0512-88856768 tech-china@abcepta.com.
















癌症的基本特征包括细胞增殖、血管生成、迁移、凋亡逃避机制和细胞永生等。找到癌症发生过程中这些通路的关键标记物和对应的抗体用于检测至关重要。
为您推荐一个泛素化位点预测神器——泛素化分析工具,可以为您的蛋白的泛素化位点作出预测和评分。
细胞自噬受体图形绘图工具为你的蛋白的细胞受体结合位点作出预测和评分,识别结合到自噬通路中的蛋白是非常重要的,便于让我们理解自噬在正常生理、病理过程中的作用,如发育、细胞分化、神经退化性疾病、压力条件下、感染和癌症。