MtSSB Antibody
Purified Rabbit Polyclonal Antibody (Pab)
- 产品详情
- 实验流程
- 背景知识
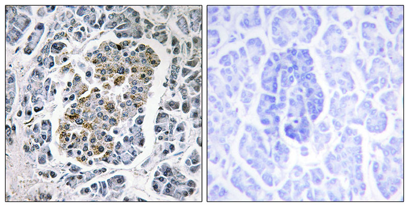
Application
| WB, IF, IHC |
|---|---|
| Primary Accession | Q04837 |
| Reactivity | Human, Mouse, Rat |
| Host | Rabbit |
| Clonality | polyclonal |
| Calculated MW | 17260 Da |
| Gene ID | 6742 |
|---|---|
| Other Names | Single-stranded DNA-binding protein, mitochondrial, Mt-SSB, MtSSB, PWP1-interacting protein 17, SSBP1, SSBP |
| Dilution | WB~~1:1000 IF~~1:100 IHC~~1:50-100 |
| Format | Rabbit IgG in phosphate buffered saline (without Mg2+ and Ca2+), pH 7.4, 150mM NaCl, 0.09% (W/V) sodium azide and 50% glycerol. |
| Storage Conditions | -20℃ |
| Name | SSBP1 |
|---|---|
| Synonyms | SSBP |
| Function | Binds preferentially and cooperatively to pyrimidine rich single-stranded DNA (ss-DNA) (PubMed:21953457, PubMed:23290262, PubMed:31550240). In vitro, required to maintain the copy number of mitochondrial DNA (mtDNA) and plays a crucial role during mtDNA replication by stimulating the activity of the replisome components POLG and TWNK at the replication fork (PubMed:12975372, PubMed:15167897, PubMed:21953457, PubMed:26446790, PubMed:31550240). Promotes the activity of the gamma complex polymerase POLG, largely by organizing the template DNA and eliminating secondary structures to favor ss-DNA conformations that facilitate POLG activity (PubMed:21953457, PubMed:26446790, PubMed:31550240). In addition it is able to promote the 5'-3' unwinding activity of the mtDNA helicase TWNK (PubMed:12975372). May also function in mtDNA repair (PubMed:23290262). |
| Cellular Location | Mitochondrion Mitochondrion matrix, mitochondrion nucleoid |
| Tissue Location | Expressed in retinal ganglion cells, photoreceptors, pigmented epithelium and fibroblasts (at protein level). |
For Research Use Only. Not For Use In Diagnostic Procedures.
Provided below are standard protocols that you may find useful for product applications.
BACKGROUND
This protein binds preferentially and cooperatively to ss-DNA. Probably involved in mitochondrial DNA replication. Associates with mitochondrial DNA.
REFERENCES
Tiranti V.,et al.Gene 126:219-225(1993).
Honore B.,et al.Submitted (JUN-2000) to the EMBL/GenBank/DDBJ databases.
Xu G.,et al.Proc. Natl. Acad. Sci. U.S.A. 106:19310-19315(2009).
Matsuoka S.,et al.Science 316:1160-1166(2007).
Bogenhagen D.F.,et al.J. Biol. Chem. 283:3665-3675(2008).
终于等到您。ABCEPTA(百远生物)抗体产品。
点击下方“我要评价 ”按钮提交您的反馈信息,您的反馈和评价是我们最宝贵的财富之一,
我们将在1-3个工作日内处理您的反馈信息。
如有疑问,联系:0512-88856768 tech-china@abcepta.com.
















癌症的基本特征包括细胞增殖、血管生成、迁移、凋亡逃避机制和细胞永生等。找到癌症发生过程中这些通路的关键标记物和对应的抗体用于检测至关重要。
为您推荐一个泛素化位点预测神器——泛素化分析工具,可以为您的蛋白的泛素化位点作出预测和评分。
细胞自噬受体图形绘图工具为你的蛋白的细胞受体结合位点作出预测和评分,识别结合到自噬通路中的蛋白是非常重要的,便于让我们理解自噬在正常生理、病理过程中的作用,如发育、细胞分化、神经退化性疾病、压力条件下、感染和癌症。