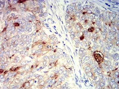
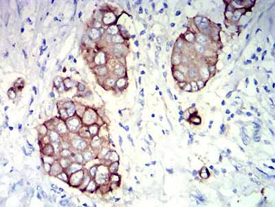
CD227
Purified Mouse Monoclonal Antibody
- 产品详情
- 实验流程
Application
| WB, IHC, ICC, E |
|---|---|
| Primary Accession | P15941 |
| Reactivity | Human |
| Host | Mouse |
| Clonality | Monoclonal |
| Clone Names | 3B10B4 |
| Isotype | Mouse IgG1 |
| Calculated MW | 122102 Da |
| Immunogen | Purified recombinant fragment of human CD227 (AA: extra 66-175) expressed in E. Coli. |
| Formulation | Purified antibody in PBS with 0.05% sodium azide |
| Gene ID | 4582 |
|---|---|
| Other Names | MUC1; EMA; MCD; PEM; PUM; KL-6; MAM6; MCKD; PEMT; H23AG; MCKD1; MUC-1; ADMCKD; ADMCKD1; CA 15-3; MUC-1/X; MUC1/ZD; MUC-1/SEC |
| Dilution | WB~~ 1/500 - 1/2000 IHC~~ 1/200 - 1/1000 ICC~~N/A E~~ 1/10000 |
| Storage | Maintain refrigerated at 2-8°C for up to 6 months. For long term storage store at -20°C in small aliquots to prevent freeze-thaw cycles. |
| Precautions | CD227 is for research use only and not for use in diagnostic or therapeutic procedures. |
| Name | MUC1 |
|---|---|
| Synonyms | PUM |
| Function | The alpha subunit has cell adhesive properties. Can act both as an adhesion and an anti-adhesion protein. May provide a protective layer on epithelial cells against bacterial and enzyme attack. |
| Cellular Location | Apical cell membrane; Single-pass type I membrane protein. Note=Exclusively located in the apical domain of the plasma membrane of highly polarized epithelial cells After endocytosis, internalized and recycled to the cell membrane Located to microvilli and to the tips of long filopodial protusions [Isoform Y]: Secreted. [Mucin-1 subunit beta]: Cell membrane. Cytoplasm. Nucleus. Note=On EGF and PDGFRB stimulation, transported to the nucleus through interaction with CTNNB1, a process which is stimulated by phosphorylation. On HRG stimulation, colocalizes with JUP/gamma-catenin at the nucleus |
| Tissue Location | Expressed on the apical surface of epithelial cells, especially of airway passages, breast and uterus. Also expressed in activated and unactivated T-cells. Overexpressed in epithelial tumors, such as breast or ovarian cancer and also in non-epithelial tumor cells. Isoform Y is expressed in tumor cells only |
Research Areas
For Research Use Only. Not For Use In Diagnostic Procedures.
Application Protocols
Provided below are standard protocols that you may find useful for product applications.
REFERENCES
1.Pol J Pathol. 2016;67(4):384-391. 2.Blood. 2015 Jul 16;126(3):354-62.
终于等到您。ABCEPTA(百远生物)抗体产品。
点击下方“我要评价 ”按钮提交您的反馈信息,您的反馈和评价是我们最宝贵的财富之一,
我们将在1-3个工作日内处理您的反馈信息。
如有疑问,联系:0512-88856768 tech-china@abcepta.com.
¥ 1,500.00
Cat# AO2736a
















癌症的基本特征包括细胞增殖、血管生成、迁移、凋亡逃避机制和细胞永生等。找到癌症发生过程中这些通路的关键标记物和对应的抗体用于检测至关重要。
为您推荐一个泛素化位点预测神器——泛素化分析工具,可以为您的蛋白的泛素化位点作出预测和评分。
细胞自噬受体图形绘图工具为你的蛋白的细胞受体结合位点作出预测和评分,识别结合到自噬通路中的蛋白是非常重要的,便于让我们理解自噬在正常生理、病理过程中的作用,如发育、细胞分化、神经退化性疾病、压力条件下、感染和癌症。