PRKAA2
Purified Mouse Monoclonal Antibody
- 产品详情
- 实验流程
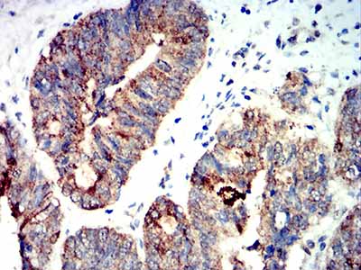
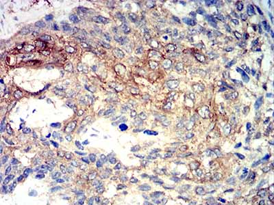
Application
| WB, IHC, ICC, E |
|---|---|
| Primary Accession | P54646 |
| Reactivity | Human |
| Host | Mouse |
| Clonality | Monoclonal |
| Clone Names | 5B4G1 |
| Isotype | Mouse IgG1 |
| Calculated MW | 62320 Da |
| Immunogen | Purified recombinant fragment of human PRKAA2 (AA: 453-552) expressed in E. Coli. |
| Formulation | Purified antibody in PBS with 0.05% sodium azide |
| Gene ID | 5563 |
|---|---|
| Other Names | AMPK; AMPK2; PRKAA; AMPKa2 |
| Dilution | WB~~ 1/500 - 1/2000 IHC~~1/200 - 1/1000 ICC~~N/A E~~ 1/10000 |
| Storage | Maintain refrigerated at 2-8°C for up to 6 months. For long term storage store at -20°C in small aliquots to prevent freeze-thaw cycles. |
| Precautions | PRKAA2 is for research use only and not for use in diagnostic or therapeutic procedures. |
| Name | PRKAA2 (HGNC:9377) |
|---|---|
| Synonyms | AMPK, AMPK2 |
| Function | Catalytic subunit of AMP-activated protein kinase (AMPK), an energy sensor protein kinase that plays a key role in regulating cellular energy metabolism (PubMed:17307971, PubMed:17712357). In response to reduction of intracellular ATP levels, AMPK activates energy-producing pathways and inhibits energy-consuming processes: inhibits protein, carbohydrate and lipid biosynthesis, as well as cell growth and proliferation (PubMed:17307971, PubMed:17712357). AMPK acts via direct phosphorylation of metabolic enzymes, and by longer-term effects via phosphorylation of transcription regulators (PubMed:17307971, PubMed:17712357). Regulates lipid synthesis by phosphorylating and inactivating lipid metabolic enzymes such as ACACA, ACACB, GYS1, HMGCR and LIPE; regulates fatty acid and cholesterol synthesis by phosphorylating acetyl-CoA carboxylase (ACACA and ACACB) and hormone-sensitive lipase (LIPE) enzymes, respectively (PubMed:7959015). Promotes lipolysis of lipid droplets by mediating phosphorylation of isoform 1 of CHKA (CHKalpha2) (PubMed:34077757). Regulates insulin-signaling and glycolysis by phosphorylating IRS1, PFKFB2 and PFKFB3 (By similarity). Involved in insulin receptor/INSR internalization (PubMed:25687571). AMPK stimulates glucose uptake in muscle by increasing the translocation of the glucose transporter SLC2A4/GLUT4 to the plasma membrane, possibly by mediating phosphorylation of TBC1D4/AS160 (By similarity). Regulates transcription and chromatin structure by phosphorylating transcription regulators involved in energy metabolism such as CRTC2/TORC2, FOXO3, histone H2B, HDAC5, MEF2C, MLXIPL/ChREBP, EP300, HNF4A, p53/TP53, SREBF1, SREBF2 and PPARGC1A (PubMed:11518699, PubMed:11554766, PubMed:15866171, PubMed:17711846, PubMed:18184930). Acts as a key regulator of glucose homeostasis in liver by phosphorylating CRTC2/TORC2, leading to CRTC2/TORC2 sequestration in the cytoplasm (By similarity). In response to stress, phosphorylates 'Ser-36' of histone H2B (H2BS36ph), leading to promote transcription (By similarity). Acts as a key regulator of cell growth and proliferation by phosphorylating FNIP1, TSC2, RPTOR, WDR24 and ATG1/ULK1: in response to nutrient limitation, negatively regulates the mTORC1 complex by phosphorylating RPTOR component of the mTORC1 complex and by phosphorylating and activating TSC2 (PubMed:14651849, PubMed:20160076, PubMed:21205641). Also phosphorylates and inhibits GATOR2 subunit WDR24 in response to nutrient limitation, leading to suppress glucose-mediated mTORC1 activation (PubMed:36732624). In response to energetic stress, phosphorylates FNIP1, inactivating the non-canonical mTORC1 signaling, thereby promoting nuclear translocation of TFEB and TFE3, and inducing transcription of lysosomal or autophagy genes (PubMed:37079666). In response to nutrient limitation, promotes autophagy by phosphorylating and activating ATG1/ULK1 (PubMed:21205641). In that process, it also activates WDR45/WIPI4 (PubMed:28561066). Phosphorylates CASP6, thereby preventing its autoprocessing and subsequent activation (PubMed:32029622). AMPK also acts as a regulator of circadian rhythm by mediating phosphorylation of CRY1, leading to destabilize it (By similarity). May regulate the Wnt signaling pathway by phosphorylating CTNNB1, leading to stabilize it (By similarity). Also acts as a regulator of cellular polarity by remodeling the actin cytoskeleton; probably by indirectly activating myosin (PubMed:17486097). Also phosphorylates CFTR, EEF2K, KLC1, NOS3 and SLC12A1 (PubMed:12519745, PubMed:20074060). Plays an important role in the differential regulation of pro-autophagy (composed of PIK3C3, BECN1, PIK3R4 and UVRAG or ATG14) and non-autophagy (composed of PIK3C3, BECN1 and PIK3R4) complexes, in response to glucose starvation (By similarity). Can inhibit the non-autophagy complex by phosphorylating PIK3C3 and can activate the pro-autophagy complex by phosphorylating BECN1 (By similarity). Upon glucose starvation, promotes ARF6 activation in a kinase-independent manner leading to cell migration (PubMed:36017701). Upon glucose deprivation mediates the phosphorylation of ACSS2 at 'Ser- 659', which exposes the nuclear localization signal of ACSS2, required for its interaction with KPNA1 and nuclear translocation (PubMed:28552616). Upon stress, regulates mitochondrial fragmentation through phosphorylation of MTFR1L (PubMed:36367943). |
| Cellular Location | Cytoplasm {ECO:0000250|UniProtKB:Q8BRK8}. Nucleus. Note=In response to stress, recruited by p53/TP53 to specific promoters. |
Research Areas
For Research Use Only. Not For Use In Diagnostic Procedures.
Application Protocols
Provided below are standard protocols that you may find useful for product applications.
REFERENCES
1.Pathobiology. 2015;82(5):203-11.2.Acta Crystallogr D Biol Crystallogr. 2011 May;67(Pt 5):480-7.
终于等到您。ABCEPTA(百远生物)抗体产品。
点击下方“我要评价 ”按钮提交您的反馈信息,您的反馈和评价是我们最宝贵的财富之一,
我们将在1-3个工作日内处理您的反馈信息。
如有疑问,联系:0512-88856768 tech-china@abcepta.com.
¥ 1,500.00
Cat# AO2508a
















癌症的基本特征包括细胞增殖、血管生成、迁移、凋亡逃避机制和细胞永生等。找到癌症发生过程中这些通路的关键标记物和对应的抗体用于检测至关重要。
为您推荐一个泛素化位点预测神器——泛素化分析工具,可以为您的蛋白的泛素化位点作出预测和评分。
细胞自噬受体图形绘图工具为你的蛋白的细胞受体结合位点作出预测和评分,识别结合到自噬通路中的蛋白是非常重要的,便于让我们理解自噬在正常生理、病理过程中的作用,如发育、细胞分化、神经退化性疾病、压力条件下、感染和癌症。