ASH2L
Purified Mouse Monoclonal Antibody
- 产品详情
- 实验流程
Application
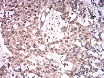
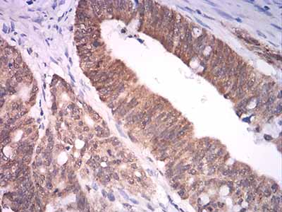
| WB, IHC, ICC, E |
|---|---|
| Primary Accession | Q9UBL3 |
| Reactivity | Human |
| Host | Mouse |
| Clonality | Monoclonal |
| Clone Names | 6B10H10 |
| Isotype | Mouse IgG1 |
| Calculated MW | 68723 Da |
| Immunogen | Purified recombinant fragment of human ASH2L (AA: 493-628) expressed in E. Coli. |
| Formulation | Purified antibody in PBS with 0.05% sodium azide |
| Gene ID | 9070 |
|---|---|
| Other Names | ASH2; Bre2; ASH2L1; ASH2L2 |
| Dilution | WB~~ 1/500 - 1/2000 IHC~~1/200 - 1/1000 ICC~~N/A E~~ 1/10000 |
| Storage | Maintain refrigerated at 2-8°C for up to 6 months. For long term storage store at -20°C in small aliquots to prevent freeze-thaw cycles. |
| Precautions | ASH2L is for research use only and not for use in diagnostic or therapeutic procedures. |
| Name | ASH2L (HGNC:744) |
|---|---|
| Synonyms | ASH2L1 |
| Function | Transcriptional regulator (PubMed:12670868). Component or associated component of some histone methyltransferase complexes which regulates transcription through recruitment of those complexes to gene promoters (PubMed:19131338). Component of the Set1/Ash2 histone methyltransferase (HMT) complex, a complex that specifically methylates 'Lys-4' of histone H3, but not if the neighboring 'Lys-9' residue is already methylated (PubMed:19556245). As part of the MLL1/MLL complex it is involved in methylation and dimethylation at 'Lys-4' of histone H3 (PubMed:19556245). May play a role in hematopoiesis (PubMed:12670868). In association with RBBP5 and WDR5, stimulates the histone methyltransferase activities of KMT2A, KMT2B, KMT2C, KMT2D, SETD1A and SETD1B (PubMed:21220120, PubMed:22266653). |
| Cellular Location | Nucleus. |
| Tissue Location | Ubiquitously expressed. Predominantly expressed in adult heart and testis and fetal lung and liver, with barely detectable expression in adult lung, liver, kidney, prostate, and peripheral leukocytes. |
Research Areas
For Research Use Only. Not For Use In Diagnostic Procedures.
Application Protocols
Provided below are standard protocols that you may find useful for product applications.
REFERENCES
1.Mol Cell. 2013 Mar 28;49(6):1108-20. 2.Nat Struct Mol Biol. 2011 Jun 5;18(7):857-9.
终于等到您。ABCEPTA(百远生物)抗体产品。
点击下方“我要评价 ”按钮提交您的反馈信息,您的反馈和评价是我们最宝贵的财富之一,
我们将在1-3个工作日内处理您的反馈信息。
如有疑问,联系:0512-88856768 tech-china@abcepta.com.
¥ 1,500.00
Cat# AO2500a
















癌症的基本特征包括细胞增殖、血管生成、迁移、凋亡逃避机制和细胞永生等。找到癌症发生过程中这些通路的关键标记物和对应的抗体用于检测至关重要。
为您推荐一个泛素化位点预测神器——泛素化分析工具,可以为您的蛋白的泛素化位点作出预测和评分。
细胞自噬受体图形绘图工具为你的蛋白的细胞受体结合位点作出预测和评分,识别结合到自噬通路中的蛋白是非常重要的,便于让我们理解自噬在正常生理、病理过程中的作用,如发育、细胞分化、神经退化性疾病、压力条件下、感染和癌症。