LRP1 Antibody
Purified Mouse Monoclonal Antibody
- 产品详情
- 实验流程
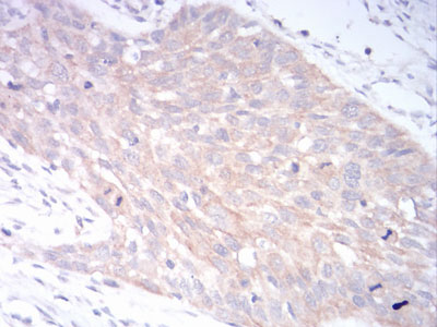
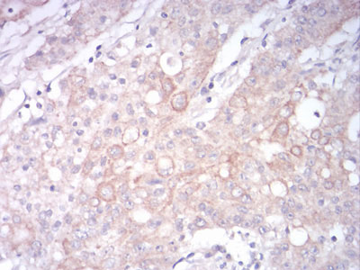
Application
| WB, IHC, FC, ICC, E |
|---|---|
| Primary Accession | Q07954 |
| Reactivity | Human |
| Host | Mouse |
| Clonality | Monoclonal |
| Clone Names | 3F12E2 |
| Isotype | IgG1 |
| Calculated MW | 504606 Da |
| Description | The protein encoded by this gene is an endocytic receptor involved in several cellular processes, including intracellular signaling, lipid homeostasis, and clearance of apoptotic cells. In addition, the encoded protein is necessary for the A2M-mediated clearance of secreted amyloid precursor protein and beta-amyloid, the main component of amyloid plaques found in Alzheimer patients. Expression of this gene decreases with age and has been found to be lower than controls in brain tissue from Alzheimer patients. |
| Immunogen | Purified recombinant fragment of human LRP1 (AA: 20-155) expressed in E. Coli. |
| Formulation | Purified antibody in PBS with 0.05% sodium azide |
| Gene ID | 4035 |
|---|---|
| Other Names | Prolow-density lipoprotein receptor-related protein 1, LRP-1, Alpha-2-macroglobulin receptor, A2MR, Apolipoprotein E receptor, APOER, CD91, Low-density lipoprotein receptor-related protein 1 85 kDa subunit, LRP-85, Low-density lipoprotein receptor-related protein 1 515 kDa subunit, LRP-515, Low-density lipoprotein receptor-related protein 1 intracellular domain, LRPICD, LRP1, A2MR, APR |
| Dilution | WB~~1/500 - 1/2000 IHC~~1/200 - 1/1000 FC~~1/200 - 1/400 ICC~~N/A E~~1/10000 |
| Storage | Maintain refrigerated at 2-8°C for up to 6 months. For long term storage store at -20°C in small aliquots to prevent freeze-thaw cycles. |
| Precautions | LRP1 Antibody is for research use only and not for use in diagnostic or therapeutic procedures. |
| Name | LRP1 (HGNC:6692) |
|---|---|
| Synonyms | A2MR, APR |
| Function | Endocytic receptor involved in endocytosis and in phagocytosis of apoptotic cells (PubMed:11907044, PubMed:12713657). Required for early embryonic development (By similarity). Involved in cellular lipid homeostasis. Involved in the plasma clearance of chylomicron remnants and activated LRPAP1 (alpha 2-macroglobulin), as well as the local metabolism of complexes between plasminogen activators and their endogenous inhibitors. Acts as an LRPAP1 alpha-2- macroglobulin receptor (PubMed:1702392, PubMed:26142438). Acts as TAU/MAPT receptor and controls the endocytosis of TAU/MAPT as well as its subsequent spread (PubMed:32296178). May modulate cellular events, such as APP metabolism, kinase-dependent intracellular signaling, neuronal calcium signaling as well as neurotransmission (PubMed:12888553). Also acts as a receptor for IGFBP3 to mediate cell growth inhibition (PubMed:9252371). |
| Cellular Location | [Low-density lipoprotein receptor-related protein 1 85 kDa subunit]: Cell membrane; Single-pass type I membrane protein Membrane, coated pit [Low-density lipoprotein receptor-related protein 1 intracellular domain]: Cytoplasm Nucleus. Note=After cleavage, the intracellular domain (LRPICD) is detected both in the cytoplasm and in the nucleus. |
| Tissue Location | Most abundant in liver, brain and lung. |
Research Areas
For Research Use Only. Not For Use In Diagnostic Procedures.
Application Protocols
Provided below are standard protocols that you may find useful for product applications.
REFERENCES
1.J Biol Chem. 2014 Feb 14;289(7):4135-44.2.Aging (Albany NY). 2013 Nov;5(11):835-49.
终于等到您。ABCEPTA(百远生物)抗体产品。
点击下方“我要评价 ”按钮提交您的反馈信息,您的反馈和评价是我们最宝贵的财富之一,
我们将在1-3个工作日内处理您的反馈信息。
如有疑问,联系:0512-88856768 tech-china@abcepta.com.
¥ 1,500.00
Cat# AO2109a
















癌症的基本特征包括细胞增殖、血管生成、迁移、凋亡逃避机制和细胞永生等。找到癌症发生过程中这些通路的关键标记物和对应的抗体用于检测至关重要。
为您推荐一个泛素化位点预测神器——泛素化分析工具,可以为您的蛋白的泛素化位点作出预测和评分。
细胞自噬受体图形绘图工具为你的蛋白的细胞受体结合位点作出预测和评分,识别结合到自噬通路中的蛋白是非常重要的,便于让我们理解自噬在正常生理、病理过程中的作用,如发育、细胞分化、神经退化性疾病、压力条件下、感染和癌症。