PON1 Antibody
Purified Mouse Monoclonal Antibody
- 产品详情
- 实验流程
- 背景知识
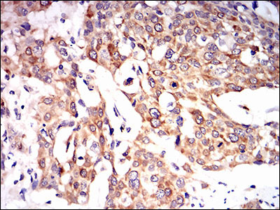
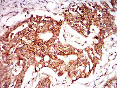
Application
| WB, IHC, FC, ICC, E |
|---|---|
| Primary Accession | P27169 |
| Reactivity | Human |
| Host | Mouse |
| Clonality | Monoclonal |
| Clone Names | 4G8D3 |
| Isotype | IgG1 |
| Calculated MW | 39731 Da |
| Description | The enzyme encoded by this gene is an arylesterase that mainly hydrolyzes paroxon to produce p-nitrophenol. Paroxon is an organophosphorus anticholinesterase compound that is produced in vivo by oxidation of the insecticide parathion. Polymorphisms in this gene are a risk factor in coronary artery disease. The gene is found in a cluster of three related paraoxonase genes at 7q21.3. |
| Immunogen | Purified recombinant fragment of human PON1 (AA: 20-155) expressed in E. Coli. |
| Formulation | Purified antibody in PBS with 0.05% sodium azide |
| Gene ID | 5444 |
|---|---|
| Other Names | Serum paraoxonase/arylesterase 1, PON 1, 3.1.1.2, 3.1.1.81, 3.1.8.1, Aromatic esterase 1, A-esterase 1, K-45, Serum aryldialkylphosphatase 1, PON1, PON |
| Dilution | WB~~1/500 - 1/2000 IHC~~1/200 - 1/1000 FC~~1:10~50 ICC~~N/A E~~1/10000 |
| Storage | Maintain refrigerated at 2-8°C for up to 6 months. For long term storage store at -20°C in small aliquots to prevent freeze-thaw cycles. |
| Precautions | PON1 Antibody is for research use only and not for use in diagnostic or therapeutic procedures. |
| Name | PON1 |
|---|---|
| Synonyms | PON |
| Function | Hydrolyzes the toxic metabolites of a variety of organophosphorus insecticides. Capable of hydrolyzing a broad spectrum of organophosphate substrates and lactones, and a number of aromatic carboxylic acid esters. Mediates an enzymatic protection of low density lipoproteins against oxidative modification and the consequent series of events leading to atheroma formation. |
| Cellular Location | Secreted, extracellular space. |
| Tissue Location | Plasma, associated with HDL (at protein level). Expressed in liver, but not in heart, brain, placenta, lung, skeletal muscle, kidney or pancreas. |
For Research Use Only. Not For Use In Diagnostic Procedures.
Provided below are standard protocols that you may find useful for product applications.
BACKGROUND
This gene encodes a member of the SOX (SRY-related HMG-box) family of transcription factors involved in the regulation of embryonic development and in the determination of the cell fate. The encoded protein may act as a transcriptional activator after forming a protein complex with other proteins. This protein acts as a nucleocytoplasmic shuttle protein and is important for neural crest and peripheral nervous system development. Mutations in this gene are associated with Waardenburg-Shah and Waardenburg-Hirschsprung disease. ;
REFERENCES
1. Redox Rep. 2012;17(5):214-8. 2. Cancer Epidemiol. 2012 Apr;36(2):e101-3.
终于等到您。ABCEPTA(百远生物)抗体产品。
点击下方“我要评价 ”按钮提交您的反馈信息,您的反馈和评价是我们最宝贵的财富之一,
我们将在1-3个工作日内处理您的反馈信息。
如有疑问,联系:0512-88856768 tech-china@abcepta.com.
















癌症的基本特征包括细胞增殖、血管生成、迁移、凋亡逃避机制和细胞永生等。找到癌症发生过程中这些通路的关键标记物和对应的抗体用于检测至关重要。
为您推荐一个泛素化位点预测神器——泛素化分析工具,可以为您的蛋白的泛素化位点作出预测和评分。
细胞自噬受体图形绘图工具为你的蛋白的细胞受体结合位点作出预测和评分,识别结合到自噬通路中的蛋白是非常重要的,便于让我们理解自噬在正常生理、病理过程中的作用,如发育、细胞分化、神经退化性疾病、压力条件下、感染和癌症。