DNM1L Antibody
Purified Mouse Monoclonal Antibody
- 产品详情
- 实验流程
- 背景知识
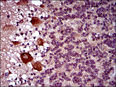
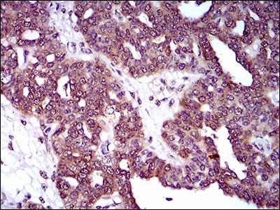
Application
| WB, IHC, E |
|---|---|
| Primary Accession | O00429 |
| Reactivity | Human |
| Host | Mouse |
| Clonality | Monoclonal |
| Clone Names | 4E11B11 |
| Isotype | IgG1 |
| Calculated MW | 81877 Da |
| Description | The protein encoded by this gene is a member of the dynamin superfamily of GTPases. Members of the dynamin-related subfamily, including the S. cerevisiae proteins Dnm1 and Vps1, contain the N-terminal tripartite GTPase domain but do not have the pleckstrin homology or proline-rich domains. This protein establishes mitochondrial morphology through a role in distributing mitochondrial tubules throughout the cytoplasm. The gene has 3 alternatively spliced transcripts encoding different isoforms. These transcripts are alternatively polyadenylated. |
| Immunogen | Purified recombinant fragment of human DNM1L (AA: 69-213) expressed in E. Coli. |
| Formulation | Purified antibody in PBS with 0.05% sodium azide |
| Gene ID | 10059 |
|---|---|
| Other Names | Dynamin-1-like protein, 3.6.5.5, Dnm1p/Vps1p-like protein, DVLP, Dynamin family member proline-rich carboxyl-terminal domain less, Dymple, Dynamin-like protein, Dynamin-like protein 4, Dynamin-like protein IV, HdynIV, Dynamin-related protein 1, DNM1L, DLP1, DRP1 |
| Dilution | WB~~1/500 - 1/2000 IHC~~1/200 - 1/1000 E~~1/10000 |
| Storage | Maintain refrigerated at 2-8°C for up to 6 months. For long term storage store at -20°C in small aliquots to prevent freeze-thaw cycles. |
| Precautions | DNM1L Antibody is for research use only and not for use in diagnostic or therapeutic procedures. |
| Name | DNM1L (HGNC:2973) |
|---|---|
| Synonyms | DLP1, DRP1 |
| Function | Functions in mitochondrial and peroxisomal division (PubMed:11514614, PubMed:12499366, PubMed:17301055, PubMed:17460227, PubMed:17553808, PubMed:18695047, PubMed:18838687, PubMed:19342591, PubMed:19411255, PubMed:19638400, PubMed:23283981, PubMed:23530241, PubMed:23921378, PubMed:26992161, PubMed:27145208, PubMed:27145933, PubMed:27301544, PubMed:27328748, PubMed:29478834, PubMed:32439975, PubMed:32484300, PubMed:9570752, PubMed:9786947). Mediates membrane fission through oligomerization into membrane-associated tubular structures that wrap around the scission site to constrict and sever the mitochondrial membrane through a GTP hydrolysis-dependent mechanism (PubMed:23530241, PubMed:23584531, PubMed:33850055). The specific recruitment at scission sites is mediated by membrane receptors like MFF, MIEF1 and MIEF2 for mitochondrial membranes (PubMed:23283981, PubMed:23921378, PubMed:29899447). While the recruitment by the membrane receptors is GTP-dependent, the following hydrolysis of GTP induces the dissociation from the receptors and allows DNM1L filaments to curl into closed rings that are probably sufficient to sever a double membrane (PubMed:29899447). Acts downstream of PINK1 to promote mitochondrial fission in a PRKN-dependent manner (PubMed:32484300). Plays an important role in mitochondrial fission during mitosis (PubMed:19411255, PubMed:26992161, PubMed:27301544, PubMed:27328748). Through its function in mitochondrial division, ensures the survival of at least some types of postmitotic neurons, including Purkinje cells, by suppressing oxidative damage (By similarity). Required for normal brain development, including that of cerebellum (PubMed:17460227, PubMed:26992161, PubMed:27145208, PubMed:27301544, PubMed:27328748). Facilitates developmentally regulated apoptosis during neural tube formation (By similarity). Required for a normal rate of cytochrome c release and caspase activation during apoptosis; this requirement may depend upon the cell type and the physiological apoptotic cues (By similarity). Required for formation of endocytic vesicles (PubMed:20688057, PubMed:23792689, PubMed:9570752). Proposed to regulate synaptic vesicle membrane dynamics through association with BCL2L1 isoform Bcl-X(L) which stimulates its GTPase activity in synaptic vesicles; the function may require its recruitment by MFF to clathrin-containing vesicles (PubMed:17015472, PubMed:23792689). Required for programmed necrosis execution (PubMed:22265414). Rhythmic control of its activity following phosphorylation at Ser-637 is essential for the circadian control of mitochondrial ATP production (PubMed:29478834). |
| Cellular Location | Cytoplasm, cytosol. Golgi apparatus. Endomembrane system; Peripheral membrane protein. Mitochondrion outer membrane; Peripheral membrane protein. Peroxisome. Membrane, clathrin-coated pit {ECO:0000250|UniProtKB:O35303}. Cytoplasmic vesicle, secretory vesicle, synaptic vesicle membrane {ECO:0000250|UniProtKB:O35303}. Note=Mainly cytosolic. Recruited by RALA and RALBP1 to mitochondrion during mitosis (PubMed:21822277). Translocated to the mitochondrial membrane through O-GlcNAcylation and interaction with FIS1. Colocalized with MARCHF5 at mitochondrial membrane (PubMed:17606867). Localizes to mitochondria at sites of division (PubMed:15208300). Localizes to mitochondria following necrosis induction. Recruited to the mitochondrial outer membrane by interaction with MIEF1. Mitochondrial recruitment is inhibited by C11orf65/MFI (By similarity). Associated with peroxisomal membranes, partly recruited there by PEX11B. May also be associated with endoplasmic reticulum tubules and cytoplasmic vesicles and found to be perinuclear (PubMed:9422767, PubMed:9570752). In some cell types, localizes to the Golgi complex (By similarity). Binds to phospholipid membranes (By similarity). {ECO:0000250, ECO:0000250|UniProtKB:Q8K1M6, ECO:0000269|PubMed:15208300, ECO:0000269|PubMed:17606867, ECO:0000269|PubMed:21822277, ECO:0000269|PubMed:9422767, ECO:0000269|PubMed:9570752} |
| Tissue Location | Ubiquitously expressed with highest levels found in skeletal muscles, heart, kidney and brain. Isoform 1 is brain-specific Isoform 2 and isoform 3 are predominantly expressed in testis and skeletal muscles respectively. Isoform 4 is weakly expressed in brain, heart and kidney. Isoform 5 is dominantly expressed in liver, heart and kidney. Isoform 6 is expressed in neurons |
For Research Use Only. Not For Use In Diagnostic Procedures.
Provided below are standard protocols that you may find useful for product applications.
BACKGROUND
The protein encoded by this gene is an isozyme of long-chain fatty-acid-coenzyme A ligase family. Although differing in substrate specificity, subcellular localization, and tissue distribution, all isozymes of this family convert free long-chain fatty acids into fatty acyl-CoA esters, and thereby play a key role in lipid biosynthesis and fatty acid degradation. This isozyme activates long-chain, branched-chain and very-long-chain fatty acids containing 22 or more carbons to their CoA derivatives. It is expressed primarily in liver and kidney, and is present in both endoplasmic reticulum and peroxisomes, but not in mitochondria. Its decreased peroxisomal enzyme activity is in part responsible for the biochemical pathology in X-linked adrenoleukodystrophy. Alternatively spliced transcript variants encoding different isoforms have been found for this gene. ; ;
REFERENCES
1. PLoS One. 2012;7(9):e45319. 2. Circ Res. 2012 May 25;110(11):1484-97.
终于等到您。ABCEPTA(百远生物)抗体产品。
点击下方“我要评价 ”按钮提交您的反馈信息,您的反馈和评价是我们最宝贵的财富之一,
我们将在1-3个工作日内处理您的反馈信息。
如有疑问,联系:0512-88856768 tech-china@abcepta.com.
















癌症的基本特征包括细胞增殖、血管生成、迁移、凋亡逃避机制和细胞永生等。找到癌症发生过程中这些通路的关键标记物和对应的抗体用于检测至关重要。
为您推荐一个泛素化位点预测神器——泛素化分析工具,可以为您的蛋白的泛素化位点作出预测和评分。
细胞自噬受体图形绘图工具为你的蛋白的细胞受体结合位点作出预测和评分,识别结合到自噬通路中的蛋白是非常重要的,便于让我们理解自噬在正常生理、病理过程中的作用,如发育、细胞分化、神经退化性疾病、压力条件下、感染和癌症。