CYP1A1 Antibody
Purified Mouse Monoclonal Antibody
- 产品详情
- 实验流程
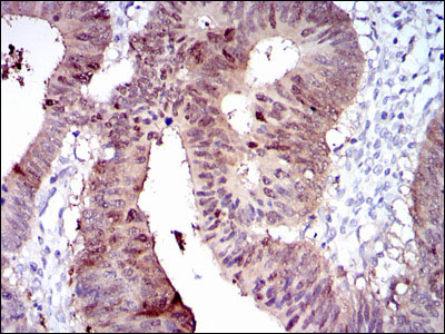
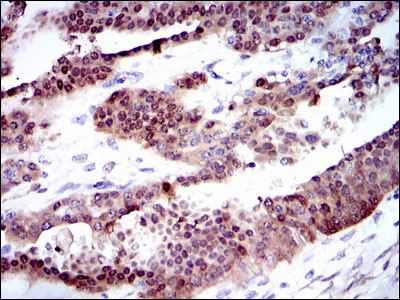
Application
| WB, IHC, E |
|---|---|
| Primary Accession | P04798 |
| Reactivity | Human |
| Host | Mouse |
| Clonality | Monoclonal |
| Clone Names | 6G5 |
| Isotype | IgG1 |
| Calculated MW | 58165 Da |
| Description | This gene, CYP1A1, encodes a member of the cytochrome P450 superfamily of enzymes. The cytochrome P450 proteins are monooxygenases which catalyze many reactions involved in drug metabolism and synthesis of cholesterol, steroids and other lipids. This protein localizes to the endoplasmic reticulum and its expression is induced by some polycyclic aromatic hydrocarbons (PAHs), some of which are found in cigarette smoke. The enzyme's endogenous substrate is unknown; however, it is able to metabolize some PAHs to carcinogenic intermediates. The gene has been associated with lung cancer risk. A related family member, CYP1A2, is located approximately 25 kb away from CYP1A1 on chromosome 15. |
| Immunogen | Purified recombinant fragment of human CYP1A1 expressed in E. Coli. |
| Formulation | Purified antibody in PBS with 0.05% sodium azide |
| Gene ID | 1543 |
|---|---|
| Other Names | Cytochrome P450 1A1, 1.14.14.1, CYPIA1, Cytochrome P450 form 6, Cytochrome P450-C, Cytochrome P450-P1, CYP1A1 |
| Dilution | WB~~1/500 - 1/2000 IHC~~1/200 - 1/1000 E~~1/10000 |
| Storage | Maintain refrigerated at 2-8°C for up to 6 months. For long term storage store at -20°C in small aliquots to prevent freeze-thaw cycles. |
| Precautions | CYP1A1 Antibody is for research use only and not for use in diagnostic or therapeutic procedures. |
| Name | CYP1A1 {ECO:0000303|PubMed:10681376, ECO:0000312|HGNC:HGNC:2595} |
|---|---|
| Function | A cytochrome P450 monooxygenase involved in the metabolism of various endogenous substrates, including fatty acids, steroid hormones and vitamins (PubMed:10681376, PubMed:11555828, PubMed:12865317, PubMed:14559847, PubMed:15041462, PubMed:15805301, PubMed:18577768, PubMed:19965576, PubMed:20972997). Mechanistically, uses molecular oxygen inserting one oxygen atom into a substrate, and reducing the second into a water molecule, with two electrons provided by NADPH via cytochrome P450 reductase (NADPH--hemoprotein reductase) (PubMed:10681376, PubMed:11555828, PubMed:12865317, PubMed:14559847, PubMed:15041462, PubMed:15805301, PubMed:18577768, PubMed:19965576, PubMed:20972997). Catalyzes the hydroxylation of carbon-hydrogen bonds. Exhibits high catalytic activity for the formation of hydroxyestrogens from estrone (E1) and 17beta-estradiol (E2), namely 2-hydroxy E1 and E2, as well as D-ring hydroxylated E1 and E2 at the C15-alpha and C16- alpha positions (PubMed:11555828, PubMed:12865317, PubMed:14559847, PubMed:15805301). Displays different regioselectivities for polyunsaturated fatty acids (PUFA) hydroxylation (PubMed:15041462, PubMed:18577768). Catalyzes the epoxidation of double bonds of certain PUFA (PubMed:15041462, PubMed:19965576, PubMed:20972997). Converts arachidonic acid toward epoxyeicosatrienoic acid (EET) regioisomers, 8,9-, 11,12-, and 14,15-EET, that function as lipid mediators in the vascular system (PubMed:20972997). Displays an absolute stereoselectivity in the epoxidation of eicosapentaenoic acid (EPA) producing the 17(R),18(S) enantiomer (PubMed:15041462). May play an important role in all-trans retinoic acid biosynthesis in extrahepatic tissues. Catalyzes two successive oxidative transformation of all-trans retinol to all-trans retinal and then to the active form all-trans retinoic acid (PubMed:10681376). May also participate in eicosanoids metabolism by converting hydroperoxide species into oxo metabolites (lipoxygenase-like reaction, NADPH-independent) (PubMed:21068195). |
| Cellular Location | Endoplasmic reticulum membrane {ECO:0000250|UniProtKB:P00185}; Peripheral membrane protein {ECO:0000250|UniProtKB:P00185}. Mitochondrion inner membrane {ECO:0000250|UniProtKB:P00185}; Peripheral membrane protein {ECO:0000250|UniProtKB:P00185}. Microsome membrane {ECO:0000250|UniProtKB:P00185}; Peripheral membrane protein {ECO:0000250|UniProtKB:P00185}. Cytoplasm {ECO:0000250|UniProtKB:P00185} |
| Tissue Location | Lung, lymphocytes and placenta. |
Research Areas
For Research Use Only. Not For Use In Diagnostic Procedures.
Application Protocols
Provided below are standard protocols that you may find useful for product applications.
REFERENCES
1. Cancer Res. 2009 Apr 1;69(7):2956-65. 2. Drug Metab Lett. 2009 Jan;3(1):18-27.
终于等到您。ABCEPTA(百远生物)抗体产品。
点击下方“我要评价 ”按钮提交您的反馈信息,您的反馈和评价是我们最宝贵的财富之一,
我们将在1-3个工作日内处理您的反馈信息。
如有疑问,联系:0512-88856768 tech-china@abcepta.com.
¥ 1,500.00
Cat# AO1662a
















癌症的基本特征包括细胞增殖、血管生成、迁移、凋亡逃避机制和细胞永生等。找到癌症发生过程中这些通路的关键标记物和对应的抗体用于检测至关重要。
为您推荐一个泛素化位点预测神器——泛素化分析工具,可以为您的蛋白的泛素化位点作出预测和评分。
细胞自噬受体图形绘图工具为你的蛋白的细胞受体结合位点作出预测和评分,识别结合到自噬通路中的蛋白是非常重要的,便于让我们理解自噬在正常生理、病理过程中的作用,如发育、细胞分化、神经退化性疾病、压力条件下、感染和癌症。