PRKDC Antibody
Purified Mouse Monoclonal Antibody
- 产品详情
- 实验流程
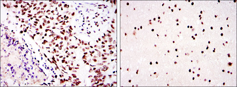
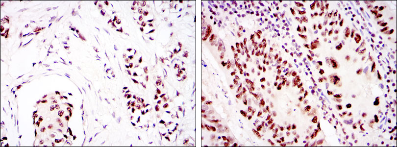
Application
| WB, IHC, ICC, E |
|---|---|
| Primary Accession | P78527 |
| Reactivity | Human |
| Host | Mouse |
| Clonality | Monoclonal |
| Clone Names | 3H6 |
| Isotype | IgG1 |
| Calculated MW | 469089 Da |
| Description | The PRKDC gene encodes the catalytic subunit of a nuclear DNA-dependent serine/threonine protein kinase (DNA-PK). The second component is the autoimmune antigen Ku (MIM 152690), which is encoded by the G22P1 gene on chromosome 22q. On its own, the catalytic subunit of DNA-PK is inactive and relies on the G22P1 component to direct it to the DNA and trigger its kinase activity; PRKDC must be bound to DNA to express its catalytic properties. |
| Immunogen | Purified recombinant fragment of human PRKDC expressed in E. Coli. |
| Formulation | Ascitic fluid containing 0.03% sodium azide. |
| Gene ID | 5591 |
|---|---|
| Other Names | DNA-dependent protein kinase catalytic subunit, DNA-PK catalytic subunit, DNA-PKcs, 2.7.11.1, DNPK1, p460, PRKDC, HYRC, HYRC1 |
| Dilution | WB~~1/500 - 1/2000 IHC~~1/200 - 1/1000 ICC~~N/A E~~1/10000 |
| Storage | Maintain refrigerated at 2-8°C for up to 6 months. For long term storage store at -20°C in small aliquots to prevent freeze-thaw cycles. |
| Precautions | PRKDC Antibody is for research use only and not for use in diagnostic or therapeutic procedures. |
| Name | PRKDC |
|---|---|
| Synonyms | HYRC, HYRC1 |
| Function | Serine/threonine-protein kinase that acts as a molecular sensor for DNA damage (PubMed:11955432, PubMed:12649176, PubMed:14734805, PubMed:33854234). Involved in DNA non-homologous end joining (NHEJ) required for double-strand break (DSB) repair and V(D)J recombination (PubMed:11955432, PubMed:12649176, PubMed:14734805, PubMed:33854234, PubMed:34352203). Must be bound to DNA to express its catalytic properties (PubMed:11955432). Promotes processing of hairpin DNA structures in V(D)J recombination by activation of the hairpin endonuclease artemis (DCLRE1C) (PubMed:11955432). Recruited by XRCC5 and XRCC6 to DNA ends and is required to (1) protect and align broken ends of DNA, thereby preventing their degradation, (2) and sequester the DSB for repair by NHEJ (PubMed:11955432, PubMed:12649176, PubMed:14734805, PubMed:15574326, PubMed:33854234). Acts as a scaffold protein to aid the localization of DNA repair proteins to the site of damage (PubMed:11955432, PubMed:12649176, PubMed:14734805, PubMed:15574326). The assembly of the DNA-PK complex at DNA ends is also required for the NHEJ ligation step (PubMed:11955432, PubMed:12649176, PubMed:14734805, PubMed:15574326). Found at the ends of chromosomes, suggesting a further role in the maintenance of telomeric stability and the prevention of chromosomal end fusion (By similarity). Also involved in modulation of transcription (PubMed:11955432, PubMed:12649176, PubMed:14734805, PubMed:15574326). As part of the DNA-PK complex, involved in the early steps of ribosome assembly by promoting the processing of precursor rRNA into mature 18S rRNA in the small-subunit processome (PubMed:32103174). Binding to U3 small nucleolar RNA, recruits PRKDC and XRCC5/Ku86 to the small-subunit processome (PubMed:32103174). Recognizes the substrate consensus sequence [ST]-Q (PubMed:11955432, PubMed:12649176, PubMed:14734805, PubMed:15574326). Phosphorylates 'Ser-139' of histone variant H2AX, thereby regulating DNA damage response mechanism (PubMed:14627815, PubMed:16046194). Phosphorylates ASF1A, DCLRE1C, c-Abl/ABL1, histone H1, HSPCA, c-jun/JUN, p53/TP53, PARP1, POU2F1, DHX9, FH, SRF, NHEJ1/XLF, XRCC1, XRCC4, XRCC5, XRCC6, WRN, MYC and RFA2 (PubMed:10026262, PubMed:10467406, PubMed:11889123, PubMed:12509254, PubMed:14599745, PubMed:14612514, PubMed:14704337, PubMed:15177042, PubMed:1597196, PubMed:16397295, PubMed:18644470, PubMed:2247066, PubMed:2507541, PubMed:26237645, PubMed:26666690, PubMed:28712728, PubMed:29478807, PubMed:30247612, PubMed:8407951, PubMed:8464713, PubMed:9139719, PubMed:9362500). Can phosphorylate C1D not only in the presence of linear DNA but also in the presence of supercoiled DNA (PubMed:9679063). Ability to phosphorylate p53/TP53 in the presence of supercoiled DNA is dependent on C1D (PubMed:9363941). Acts as a regulator of the phosphatidylinositol 3-kinase/protein kinase B signal transduction by mediating phosphorylation of 'Ser-473' of protein kinase B (PKB/AKT1, PKB/AKT2, PKB/AKT3), promoting their activation (PubMed:15262962). Contributes to the determination of the circadian period length by antagonizing phosphorylation of CRY1 'Ser-588' and increasing CRY1 protein stability, most likely through an indirect mechanism (By similarity). Plays a role in the regulation of DNA virus- mediated innate immune response by assembling into the HDP-RNP complex, a complex that serves as a platform for IRF3 phosphorylation and subsequent innate immune response activation through the cGAS-STING pathway (PubMed:28712728). Also regulates the cGAS-STING pathway by catalyzing phosphorylation of CGAS, thereby impairing CGAS oligomerization and activation (PubMed:33273464). Also regulates the cGAS-STING pathway by mediating phosphorylation of PARP1 (PubMed:35460603). |
| Cellular Location | Nucleus. Nucleus, nucleolus. Cytoplasm, cytosol |
Research Areas
For Research Use Only. Not For Use In Diagnostic Procedures.
Application Protocols
Provided below are standard protocols that you may find useful for product applications.
REFERENCES
1. J Biol Chem. 2008 Dec 26;283(52):36311-20. 2. Proc Natl Acad Sci U S A. 2008 Sep 2;105(35):12791-6.
终于等到您。ABCEPTA(百远生物)抗体产品。
点击下方“我要评价 ”按钮提交您的反馈信息,您的反馈和评价是我们最宝贵的财富之一,
我们将在1-3个工作日内处理您的反馈信息。
如有疑问,联系:0512-88856768 tech-china@abcepta.com.
¥ 1,500.00
Cat# AO1522a
















癌症的基本特征包括细胞增殖、血管生成、迁移、凋亡逃避机制和细胞永生等。找到癌症发生过程中这些通路的关键标记物和对应的抗体用于检测至关重要。
为您推荐一个泛素化位点预测神器——泛素化分析工具,可以为您的蛋白的泛素化位点作出预测和评分。
细胞自噬受体图形绘图工具为你的蛋白的细胞受体结合位点作出预测和评分,识别结合到自噬通路中的蛋白是非常重要的,便于让我们理解自噬在正常生理、病理过程中的作用,如发育、细胞分化、神经退化性疾病、压力条件下、感染和癌症。