Histone H3 Antibody
Purified Mouse Monoclonal Antibody (Mab)
- 产品详情
- 实验流程
- 背景知识
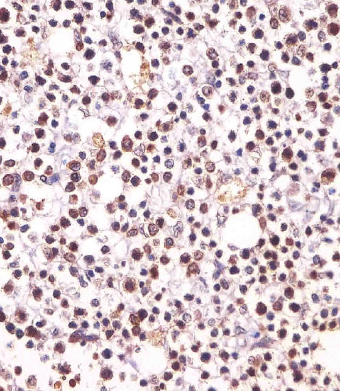
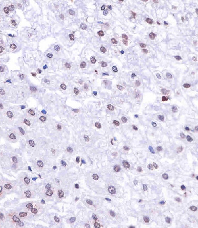
Application
| WB, IHC-P, E |
|---|---|
| Primary Accession | P68431 |
| Other Accession | Q6LED0, P68433, P68432 |
| Reactivity | Human, Mouse, Rat |
| Predicted | Bovine |
| Host | Mouse |
| Clonality | Monoclonal |
| Isotype | IgG1 |
| Clone Names | 809CT10.4.2 |
| Calculated MW | 15404 Da |
| Gene ID | 8350;8351;8352;8353;8354;8355;8356;8357;8358;8968 |
|---|---|
| Other Names | Histone H31, Histone H3/a, Histone H3/b, Histone H3/c, Histone H3/d, Histone H3/f, Histone H3/h, Histone H3/i, Histone H3/j, Histone H3/k, Histone H3/l, HIST1H3A, H3FA |
| Target/Specificity | This Histone H3 antibody is generated from a mouse immunized with Histone H3 recombinant protein. |
| Dilution | WB~~1:2000 IHC-P~~1:25 E~~Use at an assay dependent concentration. |
| Format | Purified monoclonal antibody supplied in PBS with 0.09% (W/V) sodium azide. This antibody is purified through a protein G column, followed by dialysis against PBS. |
| Storage | Maintain refrigerated at 2-8°C for up to 2 weeks. For long term storage store at -20°C in small aliquots to prevent freeze-thaw cycles. |
| Precautions | Histone H3 Antibody is for research use only and not for use in diagnostic or therapeutic procedures. |
| Name | H3C1 (HGNC:4766) |
|---|---|
| Synonyms | H3FA, HIST1H3A |
| Function | Core component of nucleosome. Nucleosomes wrap and compact DNA into chromatin, limiting DNA accessibility to the cellular machineries which require DNA as a template. Histones thereby play a central role in transcription regulation, DNA repair, DNA replication and chromosomal stability. DNA accessibility is regulated via a complex set of post-translational modifications of histones, also called histone code, and nucleosome remodeling. |
| Cellular Location | Nucleus. Chromosome. |
For Research Use Only. Not For Use In Diagnostic Procedures.
Provided below are standard protocols that you may find useful for product applications.
BACKGROUND
Core component of nucleosome. Nucleosomes wrap and compact DNA into chromatin, limiting DNA accessibility to the cellular machineries which require DNA as a template. Histones thereby play a central role in transcription regulation, DNA repair, DNA replication and chromosomal stability. DNA accessibility is regulated via a complex set of post-translational modifications of histones, also called histone code, and nucleosome remodeling.
REFERENCES
Zhong R.,et al.Nucleic Acids Res. 11:7409-7425(1983).
Marashi F.,et al.Biochem. Cell Biol. 64:277-289(1986).
Albig W.,et al.Genomics 10:940-948(1991).
Kardalinou E.,et al.J. Cell. Biochem. 52:375-383(1993).
Runge D.,et al.Submitted (OCT-1994) to the EMBL/GenBank/DDBJ databases.
终于等到您。ABCEPTA(百远生物)抗体产品。
点击下方“我要评价 ”按钮提交您的反馈信息,您的反馈和评价是我们最宝贵的财富之一,
我们将在1-3个工作日内处理您的反馈信息。
如有疑问,联系:0512-88856768 tech-china@abcepta.com.
















癌症的基本特征包括细胞增殖、血管生成、迁移、凋亡逃避机制和细胞永生等。找到癌症发生过程中这些通路的关键标记物和对应的抗体用于检测至关重要。
为您推荐一个泛素化位点预测神器——泛素化分析工具,可以为您的蛋白的泛素化位点作出预测和评分。
细胞自噬受体图形绘图工具为你的蛋白的细胞受体结合位点作出预测和评分,识别结合到自噬通路中的蛋白是非常重要的,便于让我们理解自噬在正常生理、病理过程中的作用,如发育、细胞分化、神经退化性疾病、压力条件下、感染和癌症。