Smooth Muscle Myosin Heavy Chain (SM-MHC) (Leiomyosarcoma & Myoepithelial Cell Marker) Antibody - W
Mouse Monoclonal Antibody [Clone MYH11/923 ]
- 产品详情
- 实验流程
- 背景知识
Application
| IHC, IF, FC |
|---|---|
| Primary Accession | P35749 |
| Other Accession | 4629, 460109 |
| Reactivity | Human, Rat |
| Host | Mouse |
| Clonality | Monoclonal |
| Isotype | Mouse / IgG1, kappa |
| Clone Names | MYH11/923 |
| Calculated MW | 227339 Da |
| Gene ID | 4629 |
|---|---|
| Other Names | Myosin-11, Myosin heavy chain 11, Myosin heavy chain, smooth muscle isoform, SMMHC, MYH11, KIAA0866 |
| Application Note | IHC~~1:100~500 IF~~1:50~200 FC~~1:10~50 |
| Storage | Store at 2 to 8°C.Antibody is stable for 24 months. |
| Precautions | Smooth Muscle Myosin Heavy Chain (SM-MHC) (Leiomyosarcoma & Myoepithelial Cell Marker) Antibody - W is for research use only and not for use in diagnostic or therapeutic procedures. |
| Name | MYH11 |
|---|---|
| Synonyms | KIAA0866 |
| Function | Muscle contraction. |
| Cellular Location | Melanosome. Note=Identified by mass spectrometry in melanosome fractions from stage I to stage IV. Thick filaments of the myofibrils |
| Tissue Location | Smooth muscle; expressed in the umbilical artery, bladder, esophagus and trachea. Isoform 1 is mostly found in slowly contracting tonic muscles. |
For Research Use Only. Not For Use In Diagnostic Procedures.
Provided below are standard protocols that you may find useful for product applications.
BACKGROUND
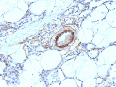
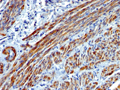
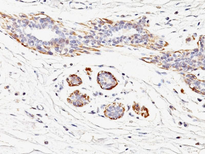
Smooth muscle myosin heavy chain (SM-MHC) is a cytoplasmic structural protein, which is a major component of the contractile apparatus in smooth muscle cells. Expression of smooth muscle myosin is developmentally regulated, appearing early in smooth muscle development, and is specific for smooth muscle development. Two isoforms of smooth muscle myosin heavy chain have been identified, designated MHC-1 and MHC-2. The antibody may be useful for the study of breast tumors as the presence of an intact layer of myoepithelial cells is an important feature, which may distinguish benign breast lesions and carcinoma in situ from invasive tumors.
REFERENCES
N.P. Wang, B.C. Wan, M. Skelly, M.G. Frid, M.A. Glukhova, V.E. Koteliansky, A.M. Gown. Antibodies to novel myoepithelium-associated proteins distinguish benign lesions and in-situ- carcinoma from invasive carcinoma of the breast. Applied Immunohistochemistry 1997;5(3):141-151
终于等到您。ABCEPTA(百远生物)抗体产品。
点击下方“我要评价 ”按钮提交您的反馈信息,您的反馈和评价是我们最宝贵的财富之一,
我们将在1-3个工作日内处理您的反馈信息。
如有疑问,联系:0512-88856768 tech-china@abcepta.com.
















癌症的基本特征包括细胞增殖、血管生成、迁移、凋亡逃避机制和细胞永生等。找到癌症发生过程中这些通路的关键标记物和对应的抗体用于检测至关重要。
为您推荐一个泛素化位点预测神器——泛素化分析工具,可以为您的蛋白的泛素化位点作出预测和评分。
细胞自噬受体图形绘图工具为你的蛋白的细胞受体结合位点作出预测和评分,识别结合到自噬通路中的蛋白是非常重要的,便于让我们理解自噬在正常生理、病理过程中的作用,如发育、细胞分化、神经退化性疾病、压力条件下、感染和癌症。