S100
Mouse Monoclonal antibody(Mab)
- 产品详情
- 实验流程
Application
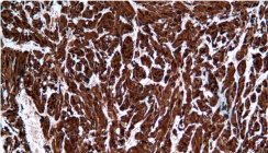
| IHC-P |
|---|---|
| Primary Accession | P23297 |
| Reactivity | Human |
| Host | Mouse |
| Clonality | Monoclonal |
| Clone Names | 503F1E9 |
| Calculated MW | 10546 Da |
| Gene ID | 6271 |
|---|---|
| Gene Name | S100A1 |
| Other Names | Protein S100-A1, S-100 protein alpha chain, S-100 protein subunit alpha, S100 calcium-binding protein A1, S100A1, S100A |
| Dilution | IHC-P~~Ready-to-use |
| Storage | Maintain refrigerated at 2-8°C. |
| Precautions | S100 Antibody is for research use only and not for use in diagnostic or therapeutic procedures. |
| Name | S100A1 |
|---|---|
| Synonyms | S100A |
| Function | Small calcium binding protein that plays important roles in several biological processes such as Ca(2+) homeostasis, chondrocyte biology and cardiomyocyte regulation (PubMed:12804600). In response to an increase in intracellular Ca(2+) levels, binds calcium which triggers conformational changes (PubMed:23351007). These changes allow interactions with specific target proteins and modulate their activity (PubMed:22399290). Regulates a network in cardiomyocytes controlling sarcoplasmic reticulum Ca(2+) cycling and mitochondrial function through interaction with the ryanodine receptors RYR1 and RYR2, sarcoplasmic reticulum Ca(2+)-ATPase/ATP2A2 and mitochondrial F1-ATPase (PubMed:12804600). Facilitates diastolic Ca(2+) dissociation and myofilament mechanics in order to improve relaxation during diastole (PubMed:11717446). |
| Cellular Location | Cytoplasm. Sarcoplasmic reticulum. Mitochondrion {ECO:0000250|UniProtKB:P56565} |
| Tissue Location | Highly prevalent in heart (PubMed:12804600, PubMed:1384693). Also found in lesser quantities in skeletal muscle and brain (PubMed:1384693). |
Research Areas
For Research Use Only. Not For Use In Diagnostic Procedures.
Application Protocols
Provided below are standard protocols that you may find useful for product applications.
终于等到您。ABCEPTA(百远生物)抗体产品。
点击下方“我要评价 ”按钮提交您的反馈信息,您的反馈和评价是我们最宝贵的财富之一,
我们将在1-3个工作日内处理您的反馈信息。
如有疑问,联系:0512-88856768 tech-china@abcepta.com.
¥ 625.00
Cat# AD80139
















癌症的基本特征包括细胞增殖、血管生成、迁移、凋亡逃避机制和细胞永生等。找到癌症发生过程中这些通路的关键标记物和对应的抗体用于检测至关重要。
为您推荐一个泛素化位点预测神器——泛素化分析工具,可以为您的蛋白的泛素化位点作出预测和评分。
细胞自噬受体图形绘图工具为你的蛋白的细胞受体结合位点作出预测和评分,识别结合到自噬通路中的蛋白是非常重要的,便于让我们理解自噬在正常生理、病理过程中的作用,如发育、细胞分化、神经退化性疾病、压力条件下、感染和癌症。