SCEL Antibody (Center)
Affinity Purified Rabbit Polyclonal Antibody (Pab)
- 产品详情
- 文献引用 : 1
- 实验流程
- 背景知识
Application
| IHC-P, WB, FC, IHC-P-Leica, E |
|---|---|
| Primary Accession | O95171 |
| Other Accession | NP_659001.2, NP_003834.3 |
| Reactivity | Human |
| Host | Rabbit |
| Clonality | Polyclonal |
| Isotype | Rabbit IgG |
| Calculated MW | 77552 Da |
| Antigen Region | 260-289 aa |
| Gene ID | 8796 |
|---|---|
| Other Names | Sciellin, SCEL |
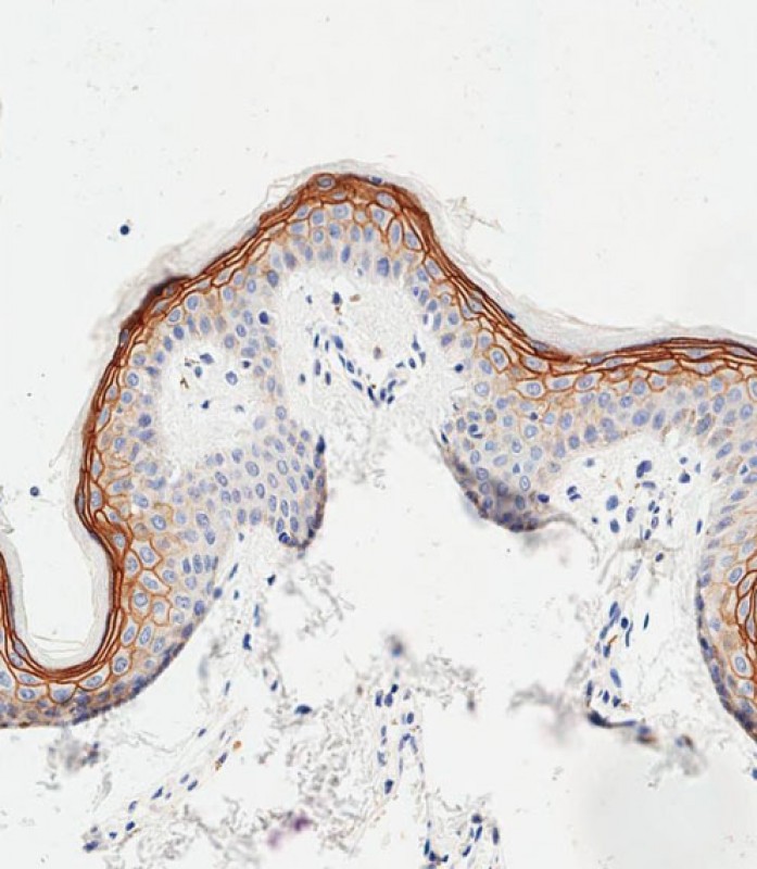
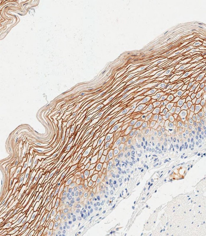
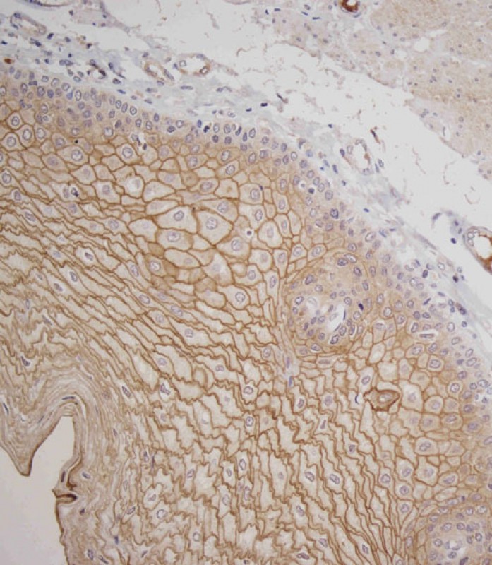
| Target/Specificity | This SCEL antibody is generated from rabbits immunized with a KLH conjugated synthetic peptide between 260-289 amino acids from the Central region of human SCEL. |
| Dilution | IHC-P~~1:100 WB~~1:1000 FC~~1:25 IHC-P-Leica~~1:500 E~~Use at an assay dependent concentration. |
| Format | Purified polyclonal antibody supplied in PBS with 0.09% (W/V) sodium azide. This antibody is purified through a protein A column, followed by peptide affinity purification. |
| Storage | Maintain refrigerated at 2-8°C for up to 2 weeks. For long term storage store at -20°C in small aliquots to prevent freeze-thaw cycles. |
| Precautions | SCEL Antibody (Center) is for research use only and not for use in diagnostic or therapeutic procedures. |
| Name | SCEL |
|---|---|
| Function | May function in the assembly or regulation of proteins in the cornified envelope. The LIM domain may be involved in homotypic or heterotypic associations and may function to localize sciellin to the cornified envelope. |
| Cellular Location | Cytoplasm. Membrane. Note=May become cross-linked to membrane proteins by transglutaminase |
| Tissue Location | Highly expressed in esophagus. It is also expressed in keratinocytes, amniotic tissue, foreskin stratum spinosum and stratum granulosum, hair follicle and nail |
For Research Use Only. Not For Use In Diagnostic Procedures.

Provided below are standard protocols that you may find useful for product applications.
BACKGROUND
The protein encoded by this gene is a precursor to the cornified envelope of terminally differentiated keratinocytes. This protein localizes to the periphery of cells and may function in the assembly or regulation of proteins in the cornified envelope. Transcript variants encoding different isoforms exist. A transcript variant utilizing an alternative polyA signal has been described in the literature, but its full-length nature has not been determined.
REFERENCES
Pyle, A.L., et al. Cardiovasc. Pathol. 19 (2), E13-E20 (2010) :
Corona, W., et al. Anticancer Res. 24 (3A), 1417-1419 (2004) :
Champliaud, M.F., et al. J. Invest. Dermatol. 121(4):781-785(2003)
Champliaud, M.F., et al. Genomics 70(2):264-268(2000)
Champliaud, M.F., et al. J. Biol. Chem. 273(47):31547-31554(1998)
终于等到您。ABCEPTA(百远生物)抗体产品。
点击下方“我要评价 ”按钮提交您的反馈信息,您的反馈和评价是我们最宝贵的财富之一,
我们将在1-3个工作日内处理您的反馈信息。
如有疑问,联系:0512-88856768 tech-china@abcepta.com.
















癌症的基本特征包括细胞增殖、血管生成、迁移、凋亡逃避机制和细胞永生等。找到癌症发生过程中这些通路的关键标记物和对应的抗体用于检测至关重要。
为您推荐一个泛素化位点预测神器——泛素化分析工具,可以为您的蛋白的泛素化位点作出预测和评分。
细胞自噬受体图形绘图工具为你的蛋白的细胞受体结合位点作出预测和评分,识别结合到自噬通路中的蛋白是非常重要的,便于让我们理解自噬在正常生理、病理过程中的作用,如发育、细胞分化、神经退化性疾病、压力条件下、感染和癌症。