Cytokeratin 5 Antibody
Purified Mouse Monoclonal Antibody
- 产品详情
- 文献引用 : 1
- 实验流程
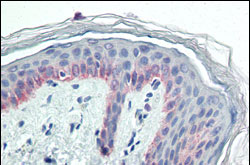
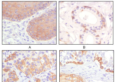
Application
| WB, IHC, E |
|---|---|
| Primary Accession | P13647 |
| Reactivity | Human |
| Host | Mouse |
| Clonality | Monoclonal |
| Clone Names | 3E2F1 |
| Isotype | IgG1 |
| Calculated MW | 62378 Da |
| Description | CK5 (keratin 5) is a member of the keratin gene family. Biochemically, most members of the CK family fall into one of two classes, type I (acidic polypeptides) and type II (basic polypeptides). The type II cytokeratins consist of basic or neutral proteins which are arranged in pairs of heterotypic keratin chains coexpressed during differentiation of simple and stratified epithelial tissues. This type II cytokeratin is specifically expressed in the basal layer of the epidermis with family member KRT14. The type II cytokeratins are clustered in a region of chromosome 12q12-q13. At least one member of the acidic family and one member of the basic family is expressed in all epithelial cells. Cytokeratin 5 is expressed in normal basal cells. Mutations of the Cytokeratin5 gene (KRT5) have been shown to result in the autosomal dominant disorderepidermolysis bullosa (EB). Defects in KRT5 are a cause of epidermolysis bullosa simplex. |
| Immunogen | Purified recombinant fragment of CK5 expressed in E. Coli. |
| Formulation | Ascitic fluid containing 0.03% sodium azide. |
| Gene ID | 3852 |
|---|---|
| Other Names | Keratin, type II cytoskeletal 5, 58 kDa cytokeratin, Cytokeratin-5, CK-5, Keratin-5, K5, Type-II keratin Kb5, KRT5 |
| Dilution | WB~~1/500 - 1/2000 IHC~~1/500 - 1/2000 E~~N/A |
| Storage | Maintain refrigerated at 2-8°C for up to 6 months. For long term storage store at -20°C in small aliquots to prevent freeze-thaw cycles. |
| Precautions | Cytokeratin 5 Antibody is for research use only and not for use in diagnostic or therapeutic procedures. |
| Name | KRT5 |
|---|---|
| Function | Required for the formation of keratin intermediate filaments in the basal epidermis and maintenance of the skin barrier in response to mechanical stress (By similarity). Regulates the recruitment of Langerhans cells to the epidermis, potentially by modulation of the abundance of macrophage chemotactic cytokines, macrophage inflammatory cytokines and CTNND1 localization in keratinocytes (By similarity). |
| Cellular Location | Cytoplasm. |
| Tissue Location | Expressed in corneal epithelium (at protein level) (PubMed:26758872). Expressed in keratinocytes (at protein level) (PubMed:20128788, PubMed:31302245). |
Research Areas
For Research Use Only. Not For Use In Diagnostic Procedures.

Application Protocols
Provided below are standard protocols that you may find useful for product applications.
REFERENCES
1. Canedo-Patzi AM. Leon-Bojorge B. de Ortiz-Hidalgo C. Gac Med Mex. 2006, Jan-Feb, 142(1):59-66. Spanish. 2. Leibl S. Moinfar F. Am J Surg Pathol. 2006, Apr, 30(4):450-6.
终于等到您。ABCEPTA(百远生物)抗体产品。
点击下方“我要评价 ”按钮提交您的反馈信息,您的反馈和评价是我们最宝贵的财富之一,
我们将在1-3个工作日内处理您的反馈信息。
如有疑问,联系:0512-88856768 tech-china@abcepta.com.
¥ 1,500.00
Cat# AO1115a
















癌症的基本特征包括细胞增殖、血管生成、迁移、凋亡逃避机制和细胞永生等。找到癌症发生过程中这些通路的关键标记物和对应的抗体用于检测至关重要。
为您推荐一个泛素化位点预测神器——泛素化分析工具,可以为您的蛋白的泛素化位点作出预测和评分。
细胞自噬受体图形绘图工具为你的蛋白的细胞受体结合位点作出预测和评分,识别结合到自噬通路中的蛋白是非常重要的,便于让我们理解自噬在正常生理、病理过程中的作用,如发育、细胞分化、神经退化性疾病、压力条件下、感染和癌症。